Traitements
Les différents cas traités ci-dessous dans notre cabinet illustrent notre expertise pour résoudre les différents problèmes auxquels ont à faire face les orthodontistes:
Classe I (CLI)
Pas de décalage antéro-postérieur entre maxillaire et mandibule
Dysharmonie dento-maxillaire (DDM)
Dysharmonie dento-maxillaire (place disponible insuffisante sur l’arcade inférieure pour aligner les dents en les maintenant dans l’os)
Classe II (CLII)
Maxillaire décalé antérieurement par rapport à la mandibule
Articulé croisé
Les dents lors de la fermeture ont un rapport inversé
Supraclusion
Problème du sens vertical, les dents supérieures recouvrent trop les dents inférieures lors de la fermeture.
Classe III (CLIII)
Mandibule décalée antérieurement par rapport au maxillaire
Béance
Problème du sens vertical, lors de la fermeture il reste un espace entre les dents du haut et du bas. La béance peut être antérieure, latérale ou bilatérale
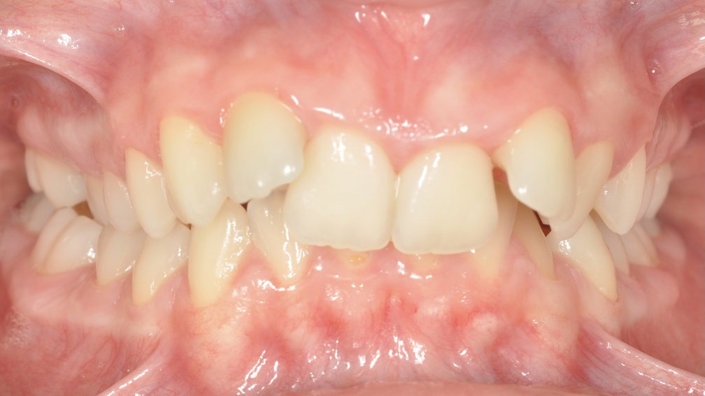
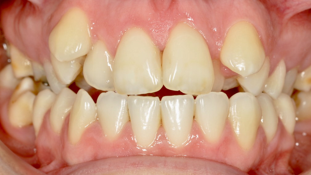
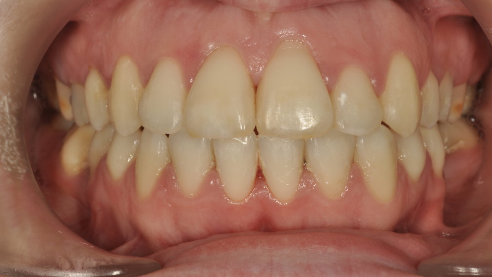
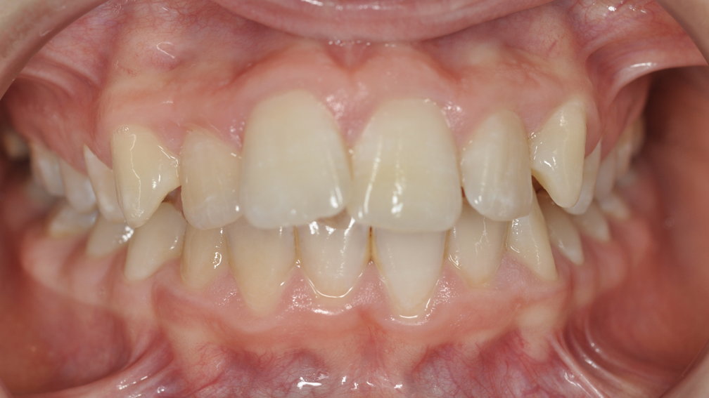
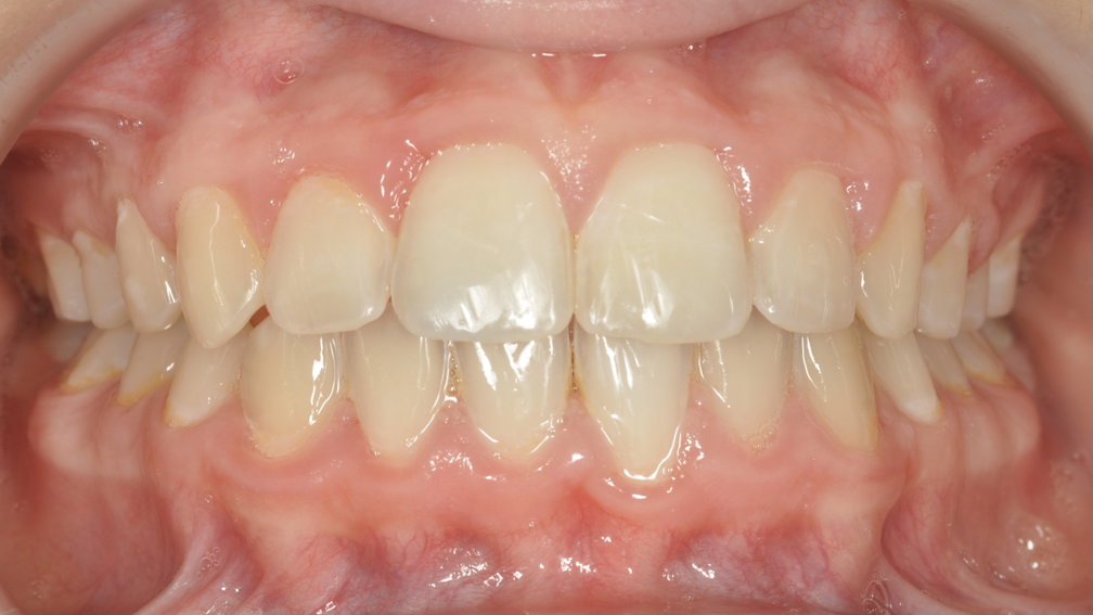
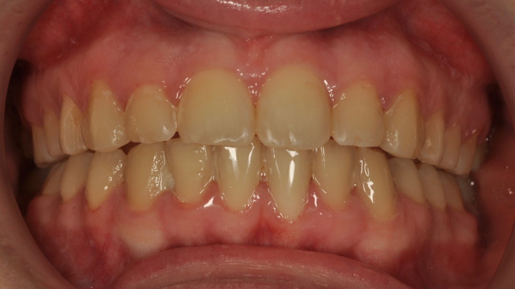
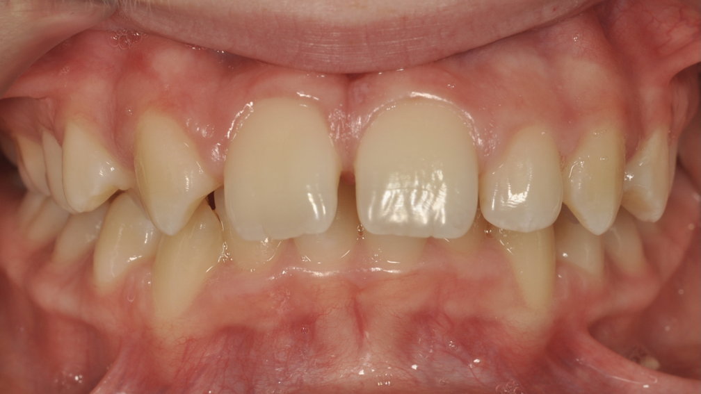
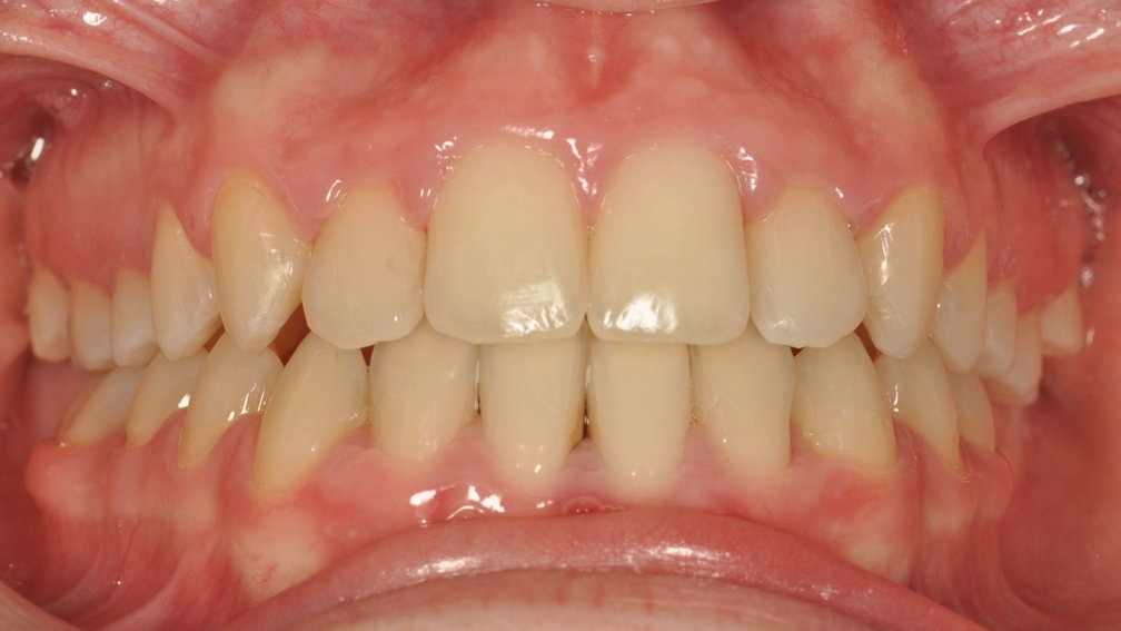
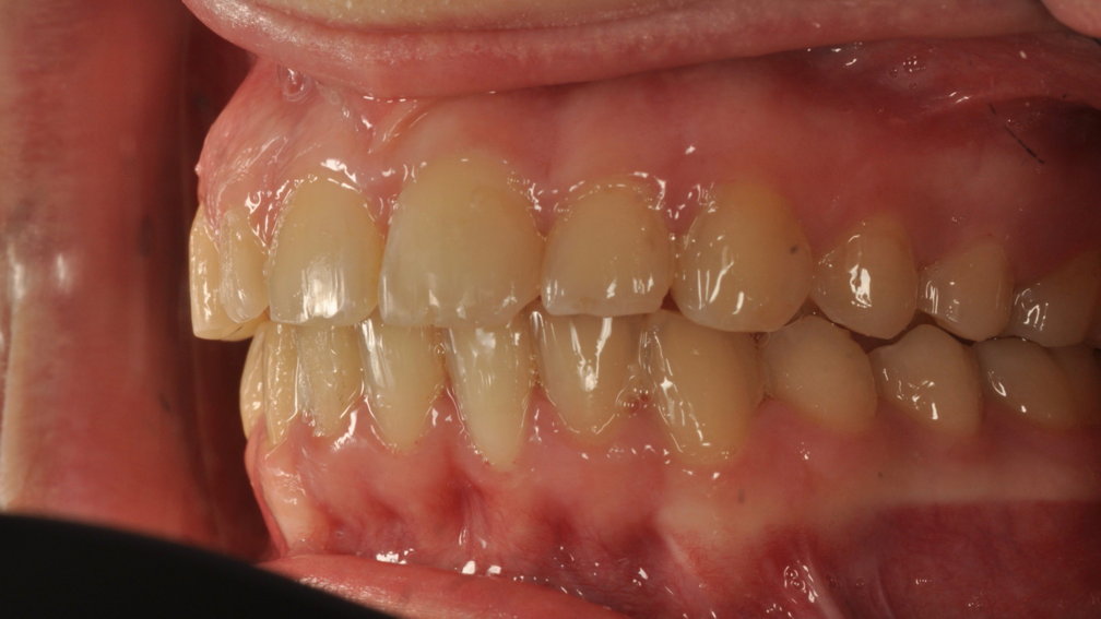
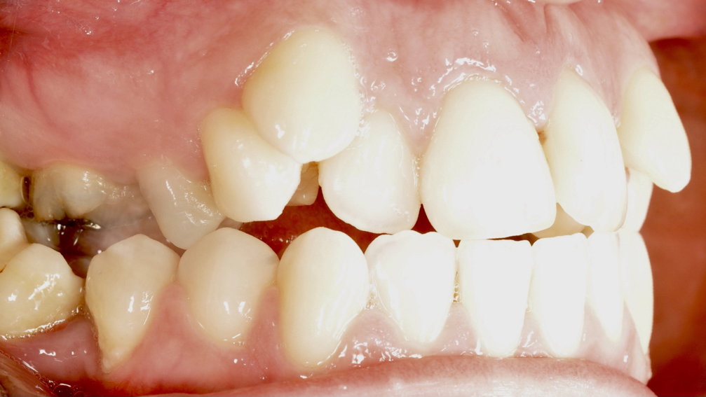
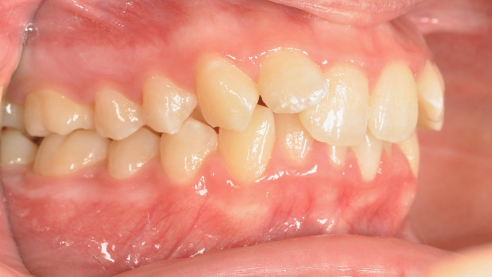
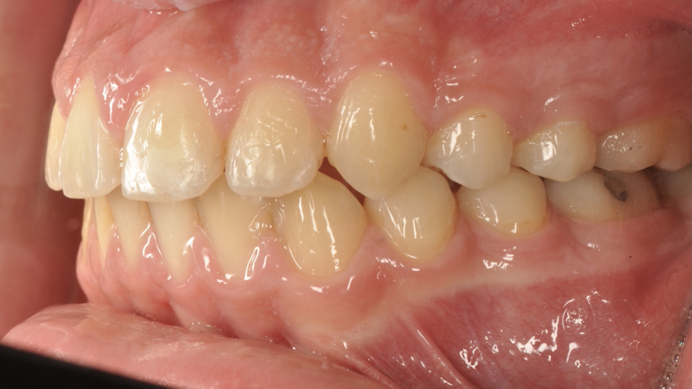
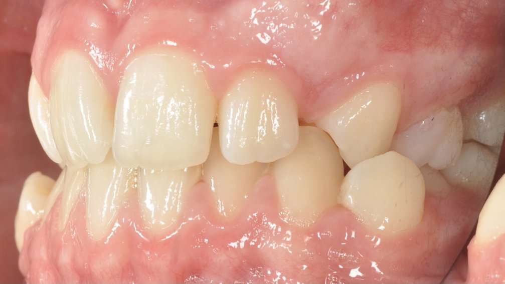
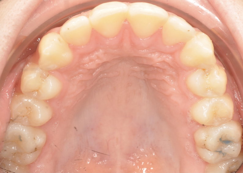
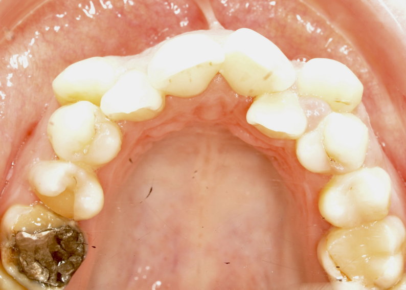
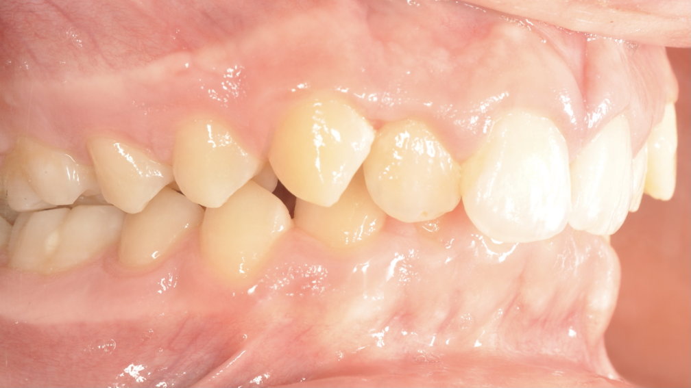
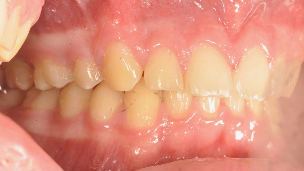
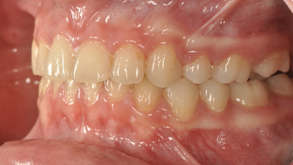
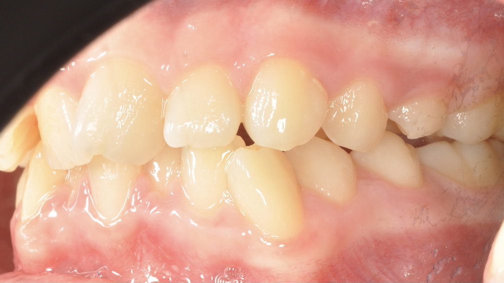
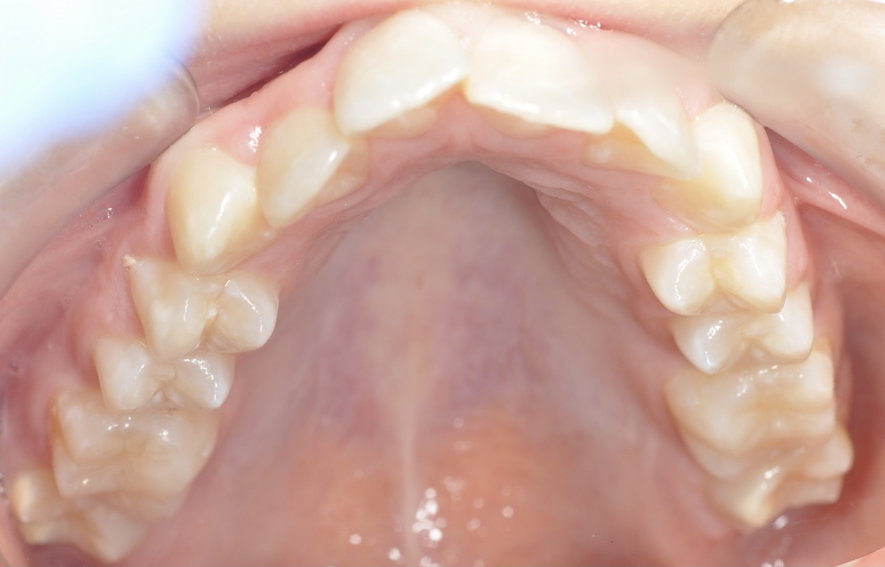
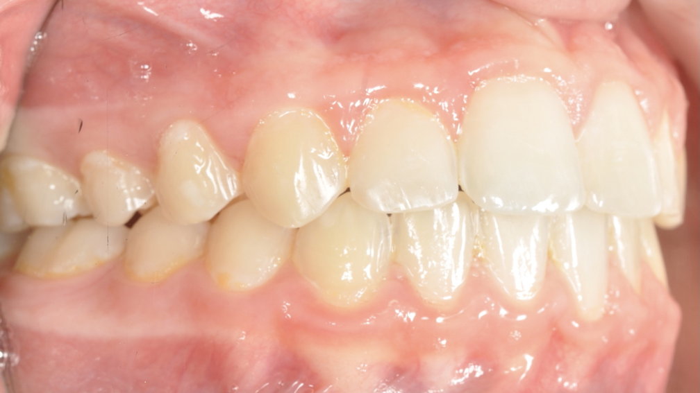
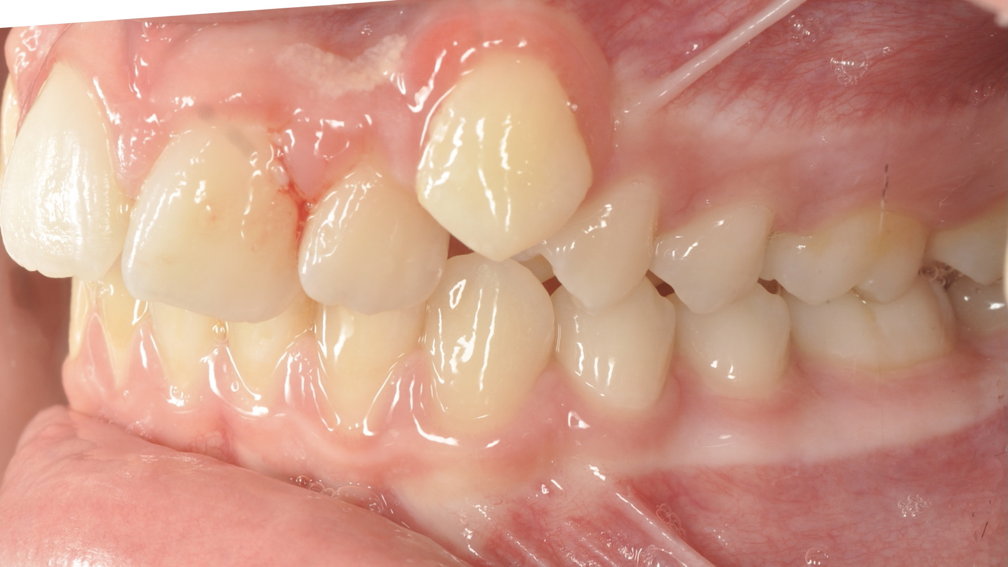
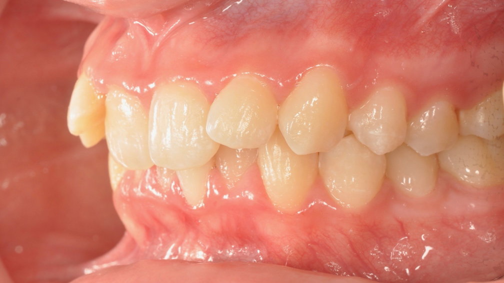
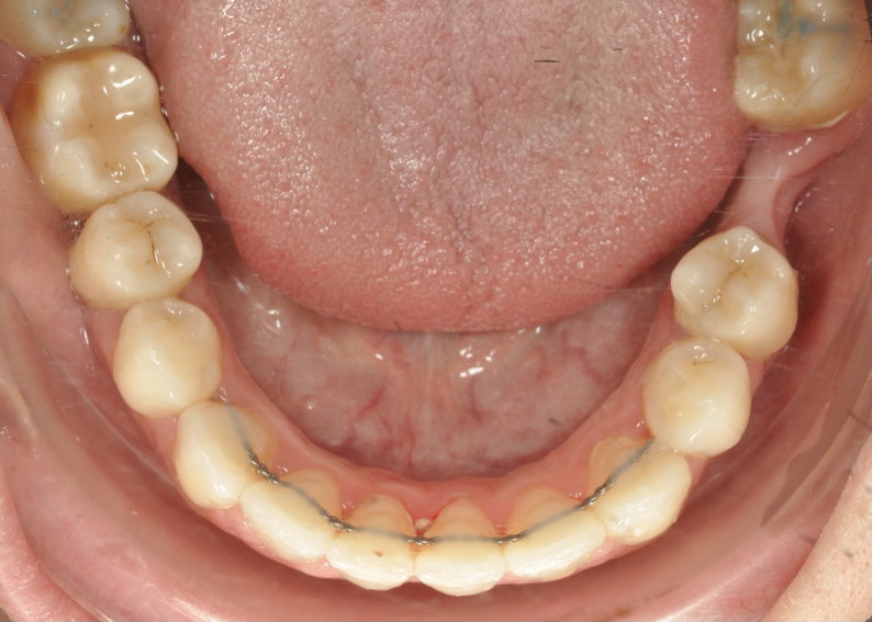
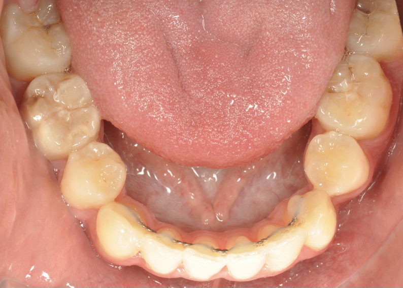
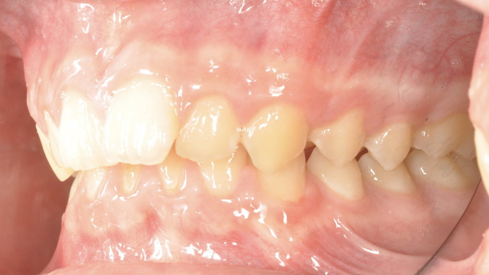
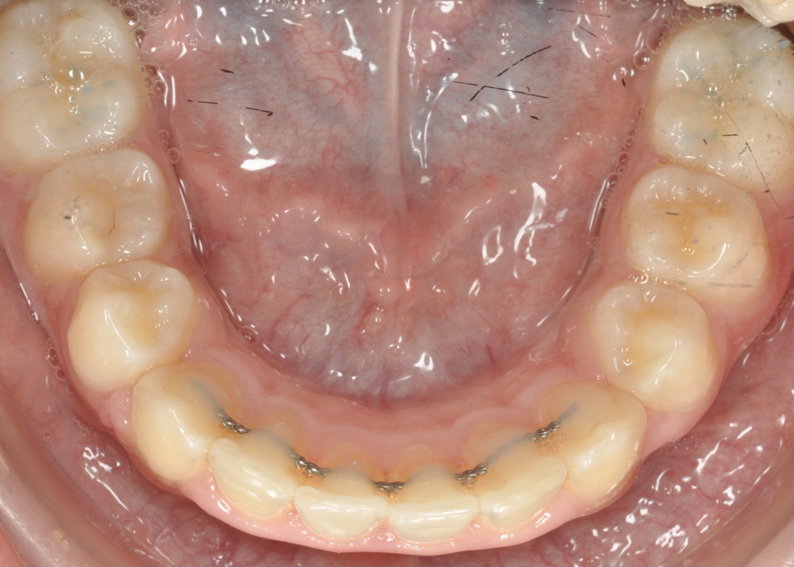
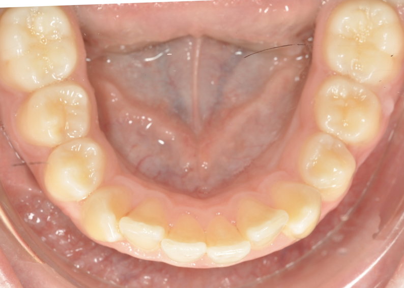
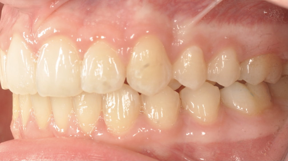
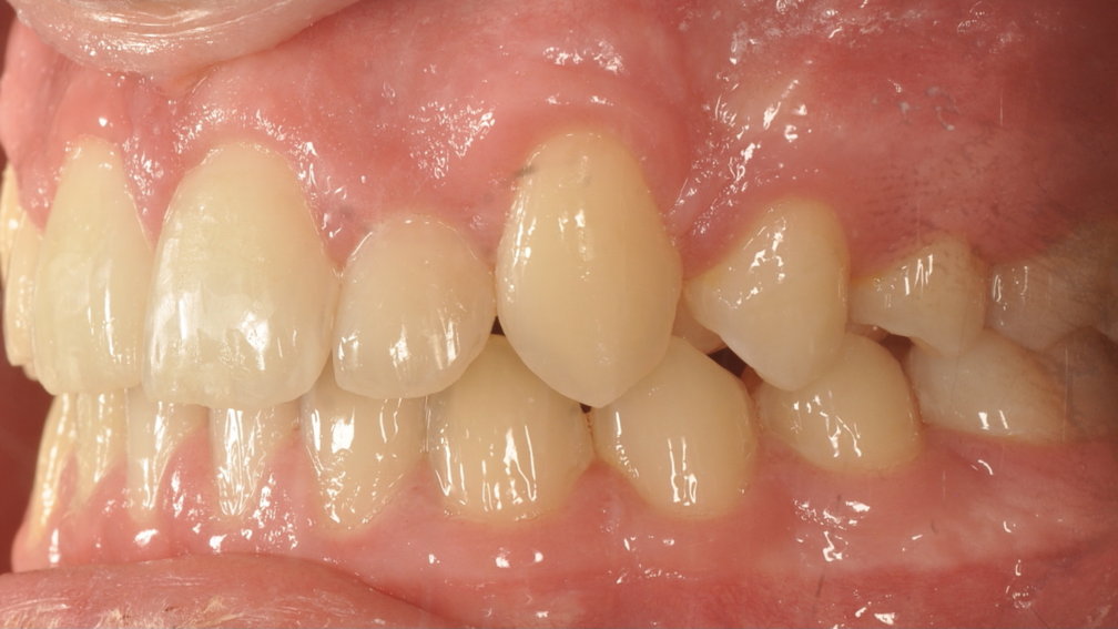
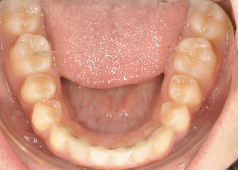
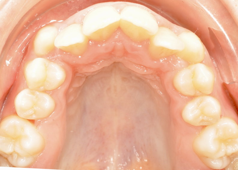
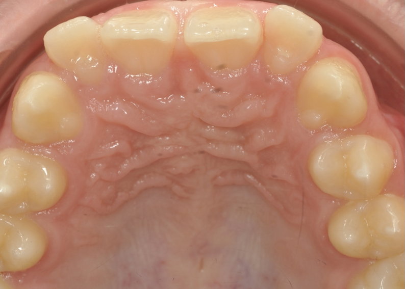
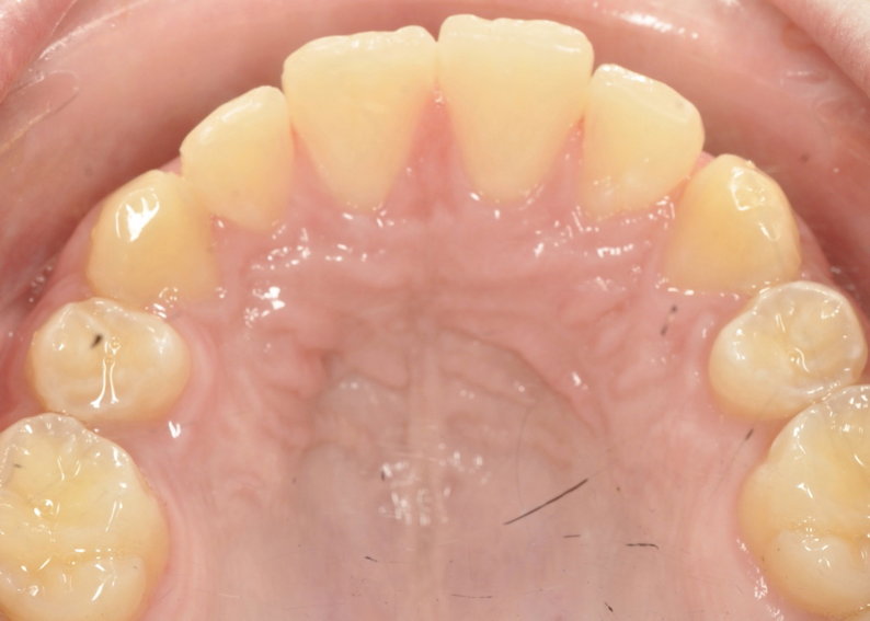
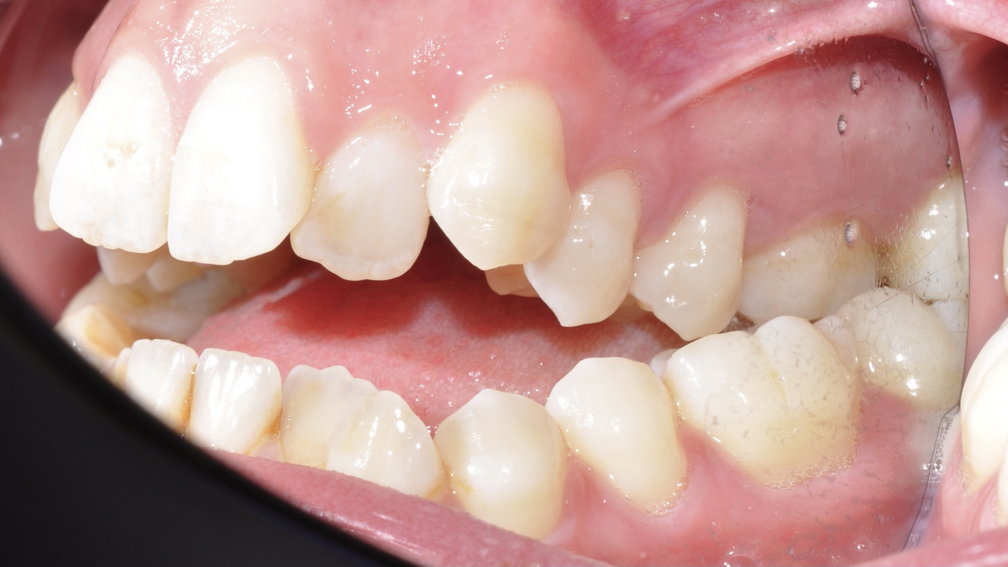
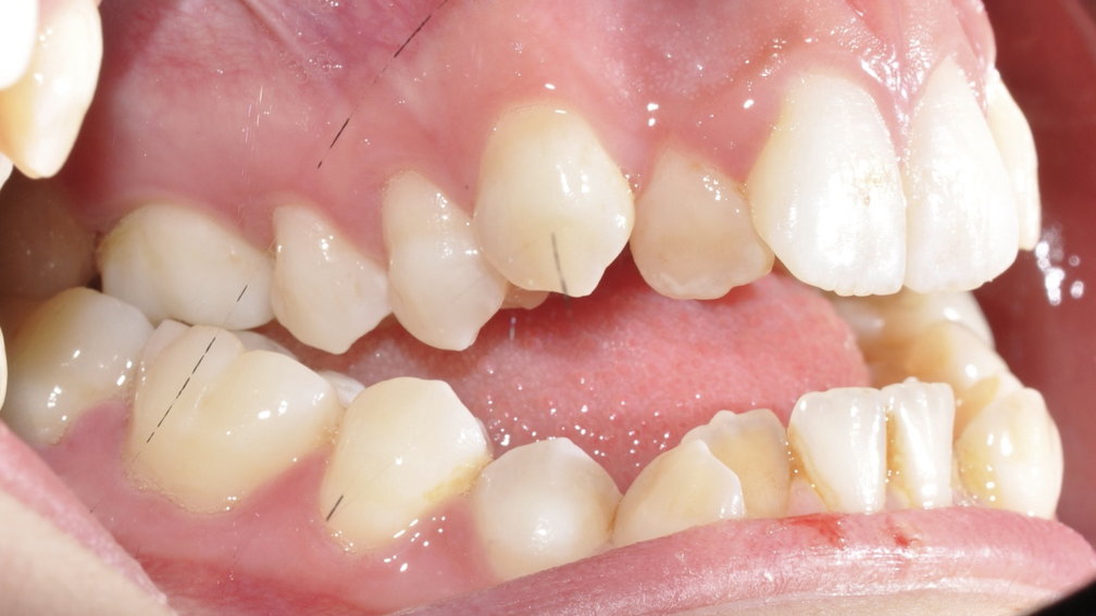
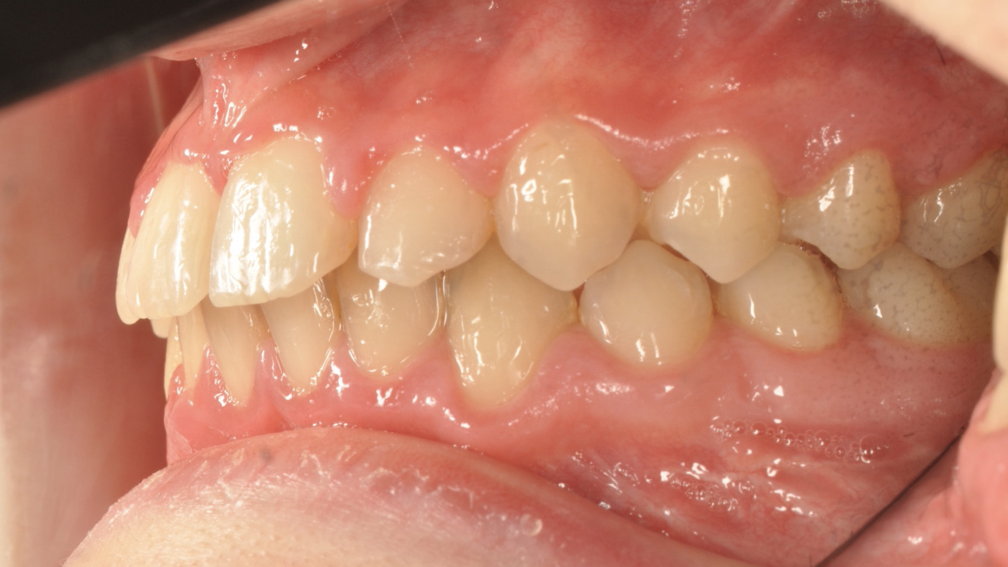
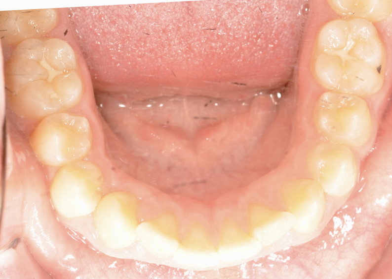
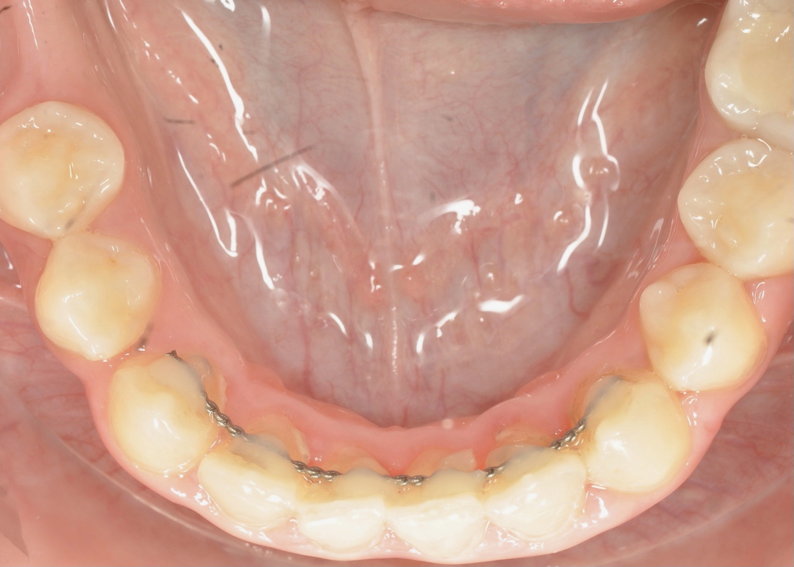
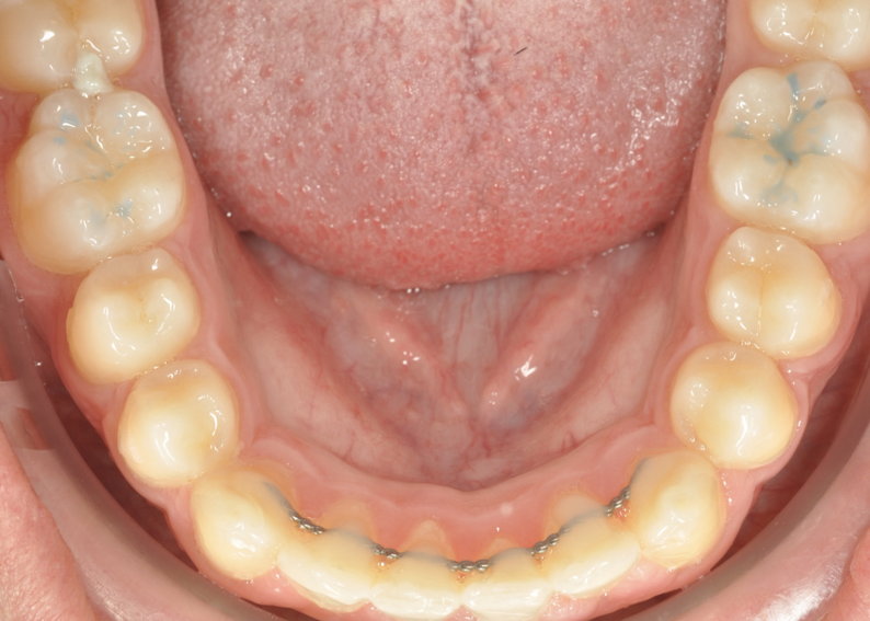
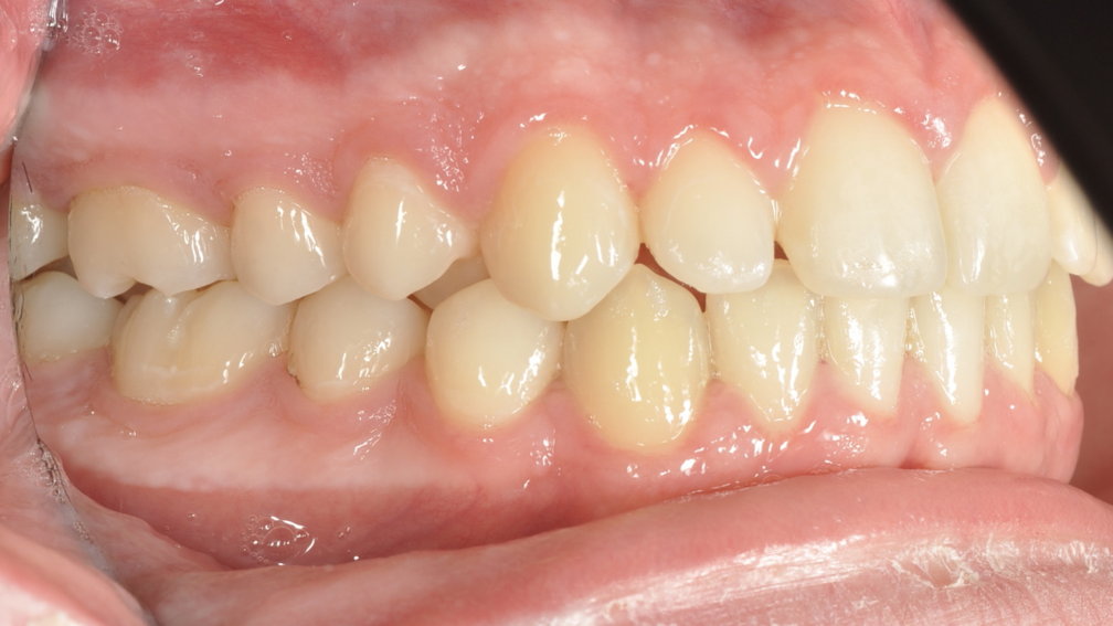
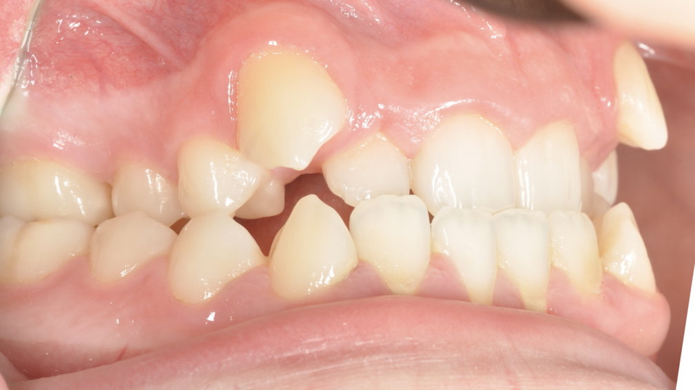
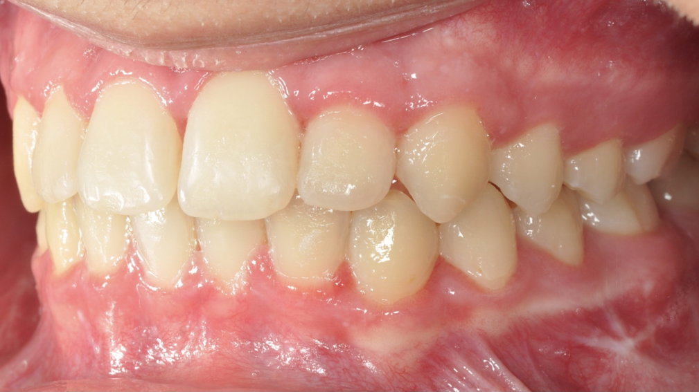
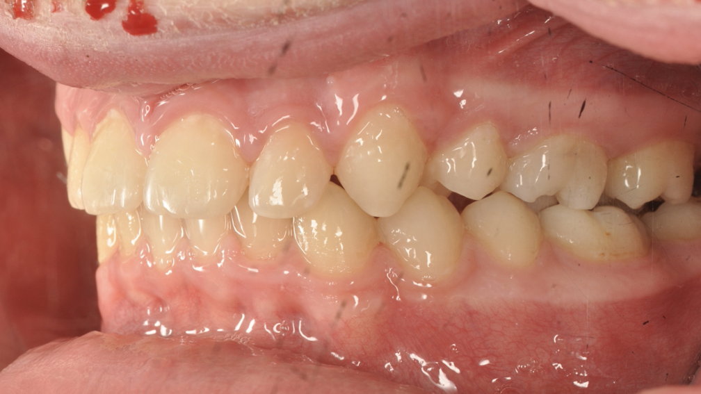
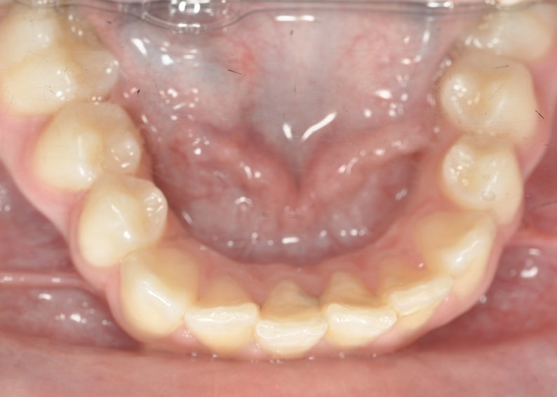
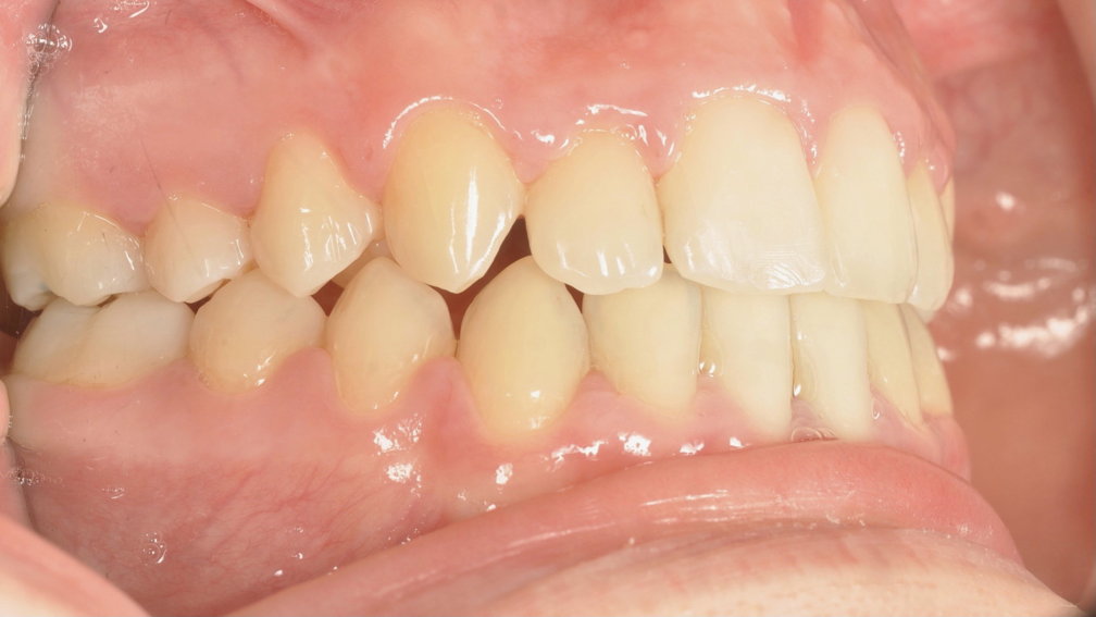
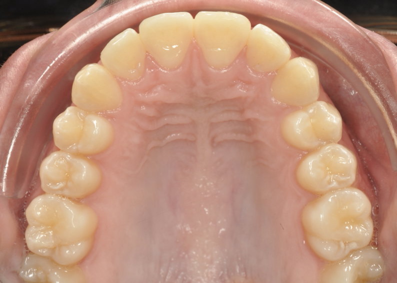
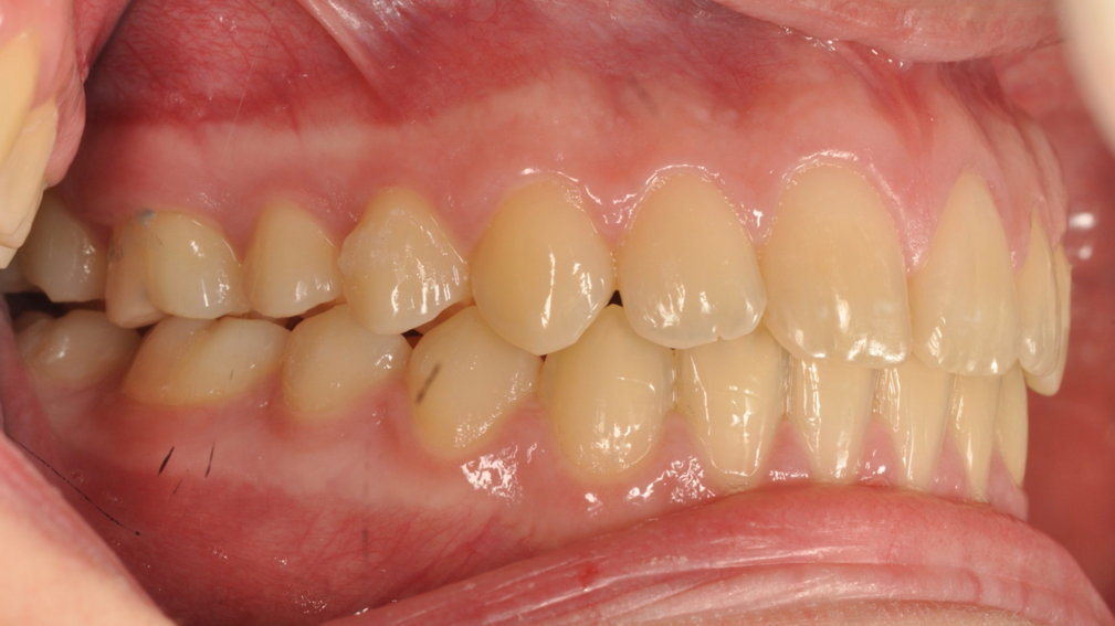
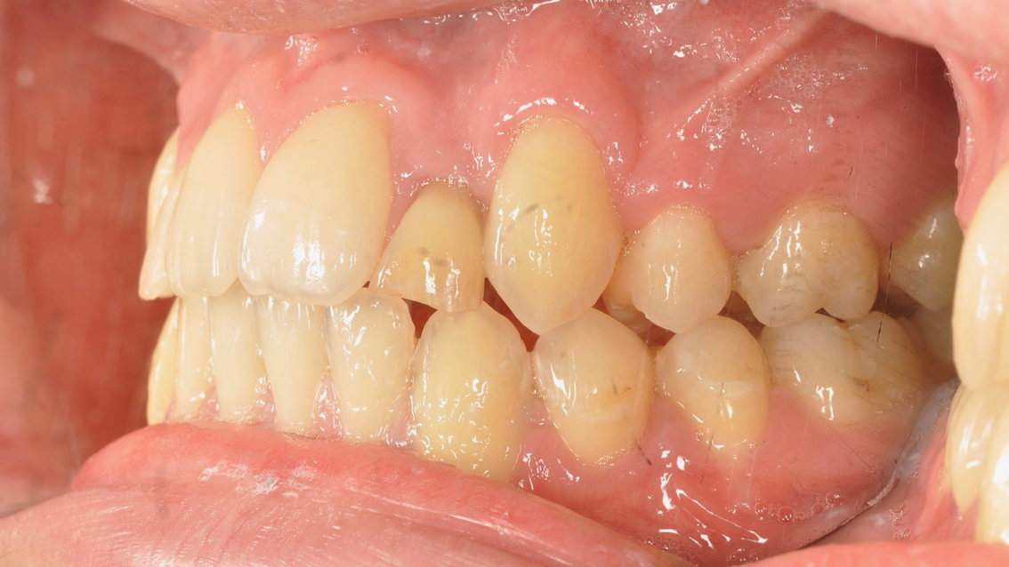
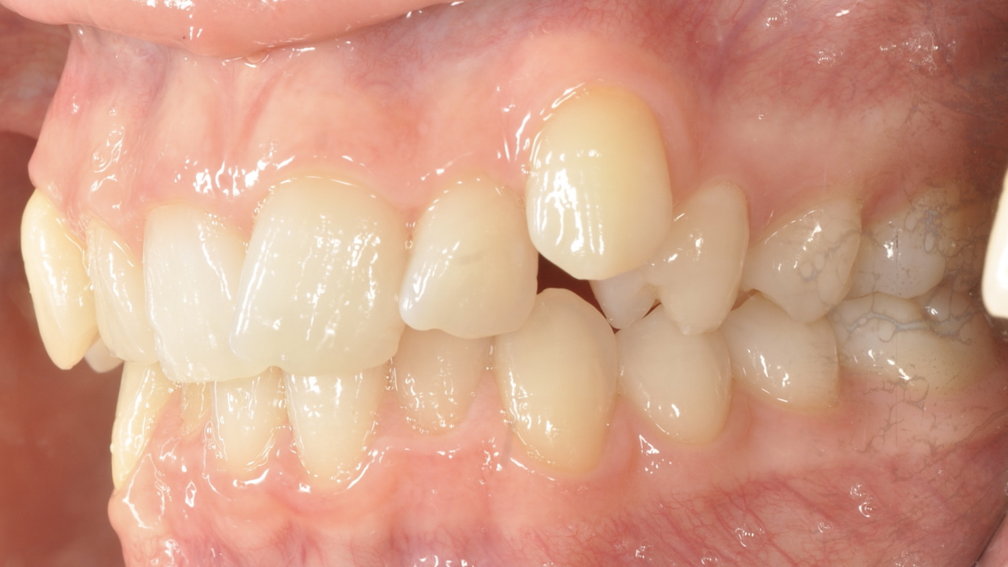
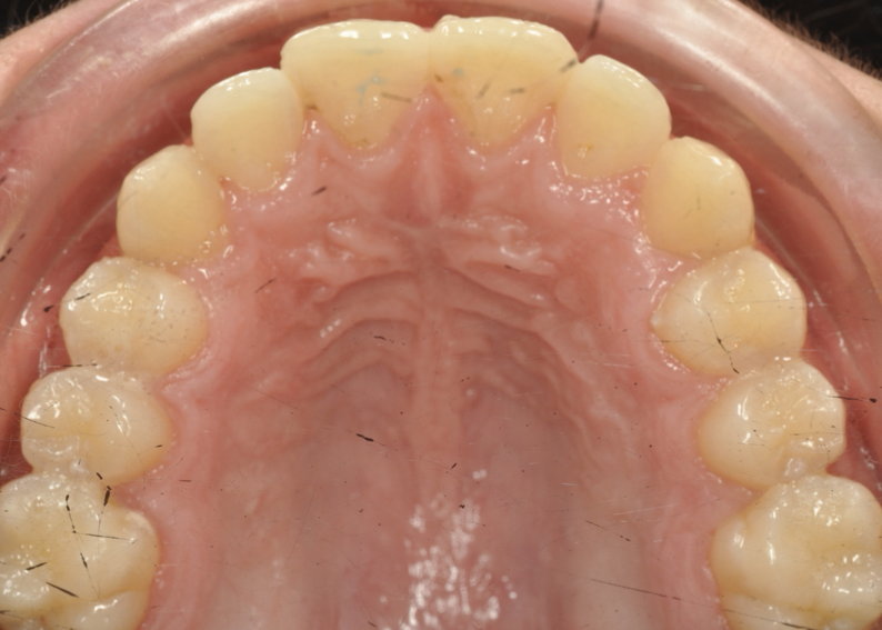
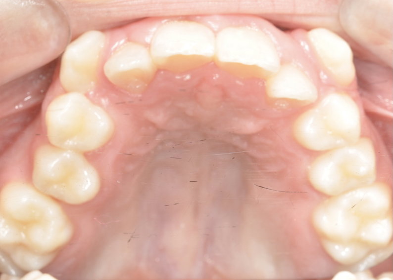
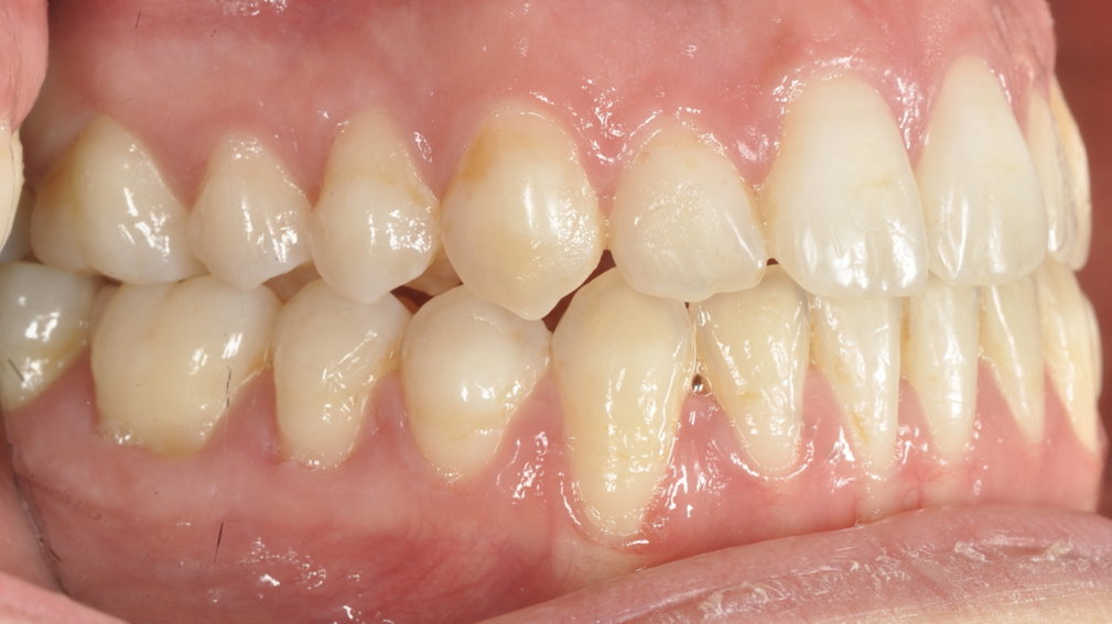
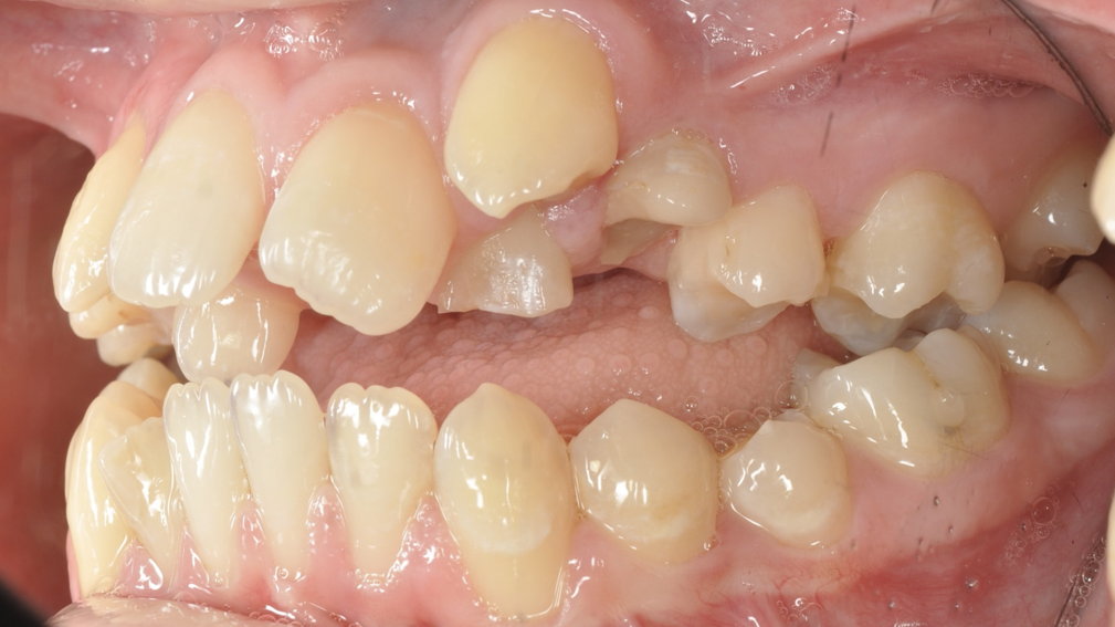
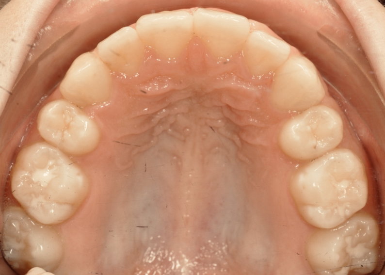
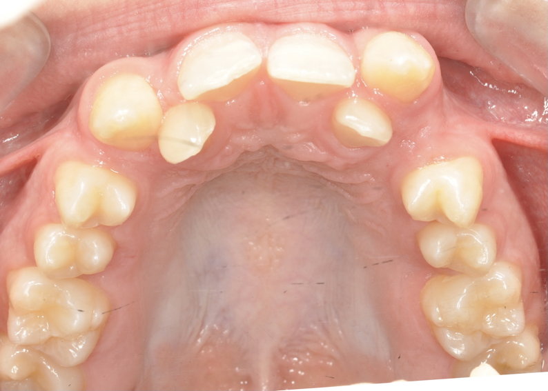
4 extractions - CLI - DDM sévère
Durée propable du traitement : 30 mois
Diagnostique : 1 anomalie de classe 1avec DDM très sévère, supraclusion et asymétrie
Plan TT : un traitement avec force extra orale, lip bumper, des extractions et 1 appareil fixe multibagues
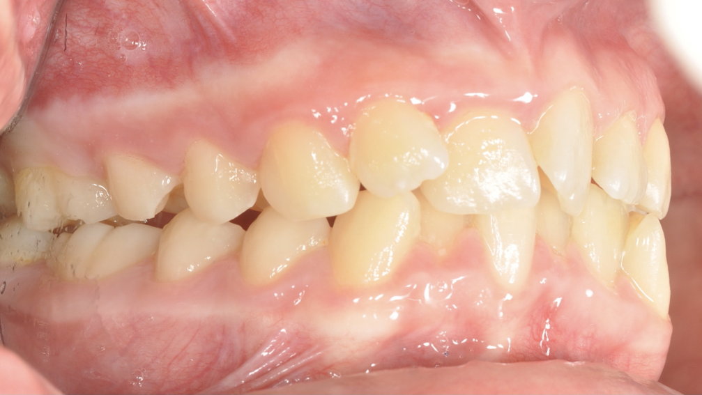
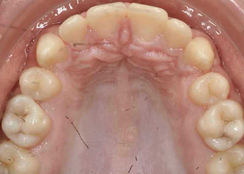
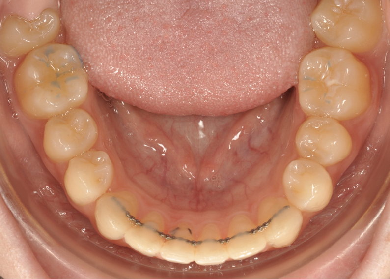
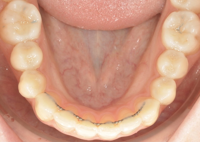
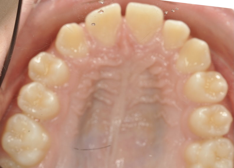
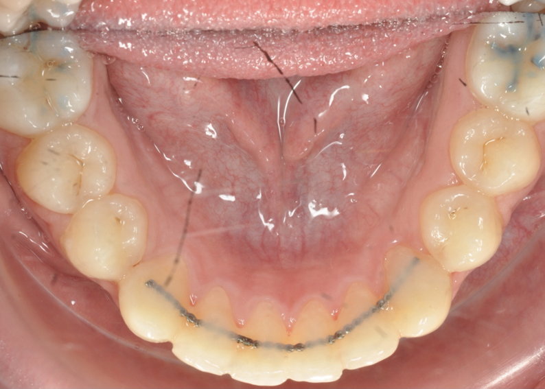
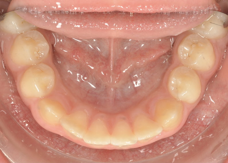
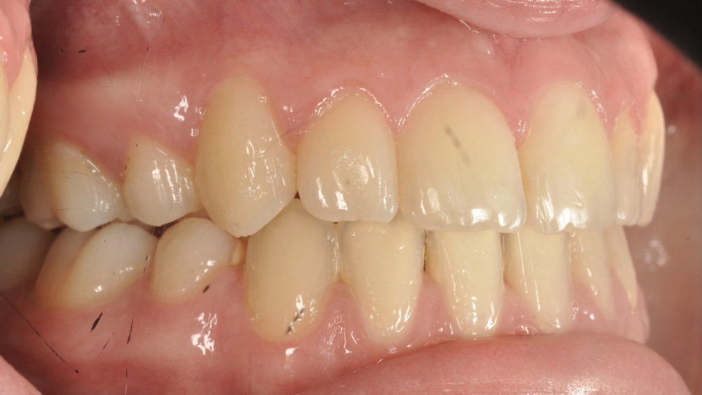
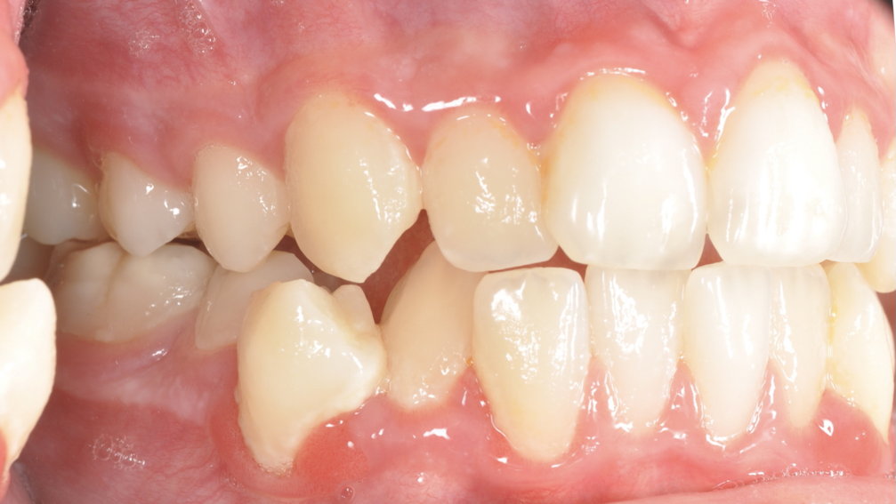
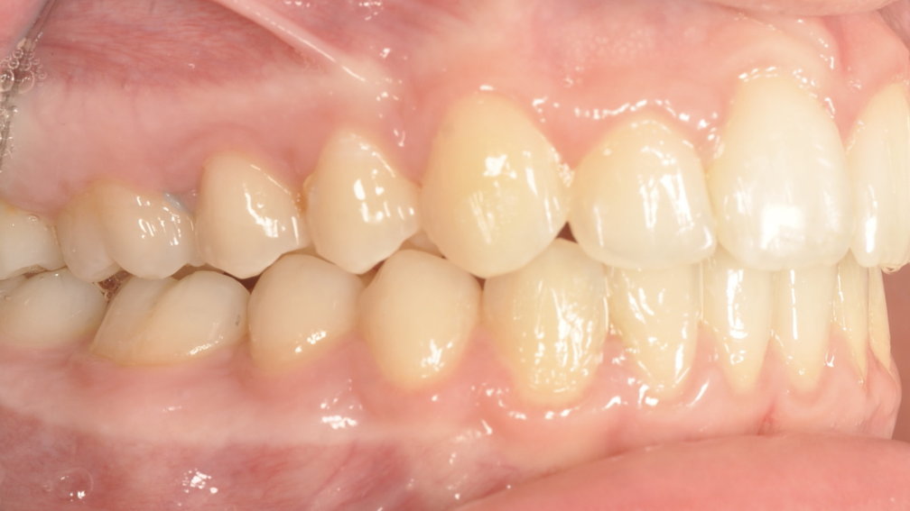
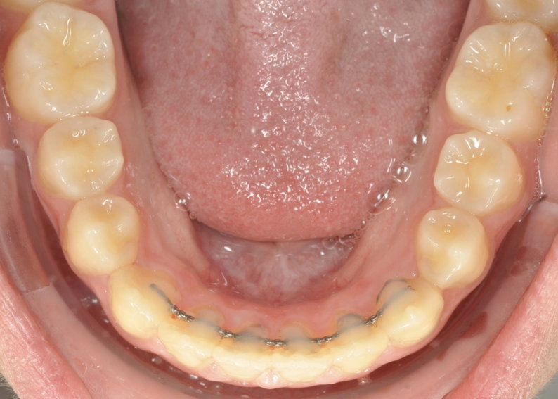
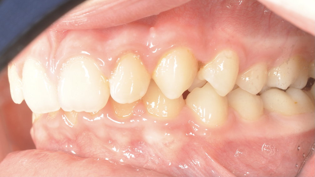
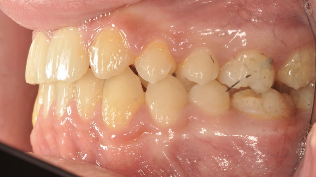
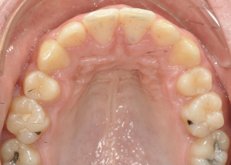
Avant traitement

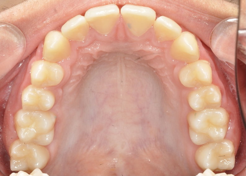
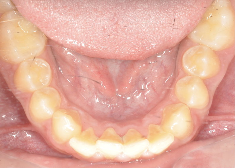
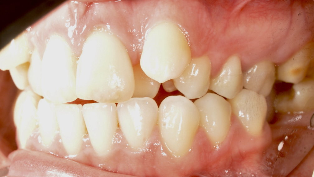
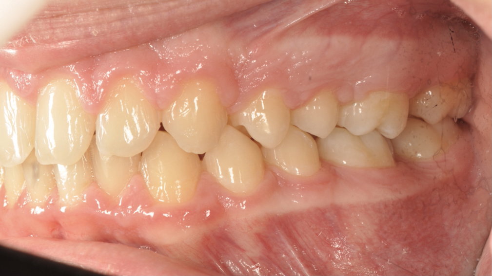
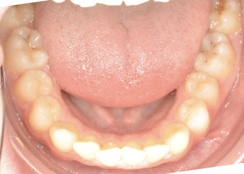
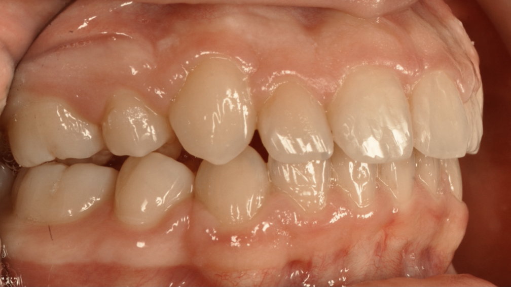
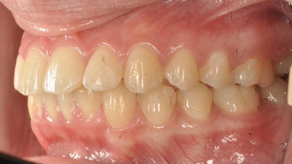
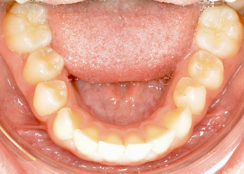
Après traitement

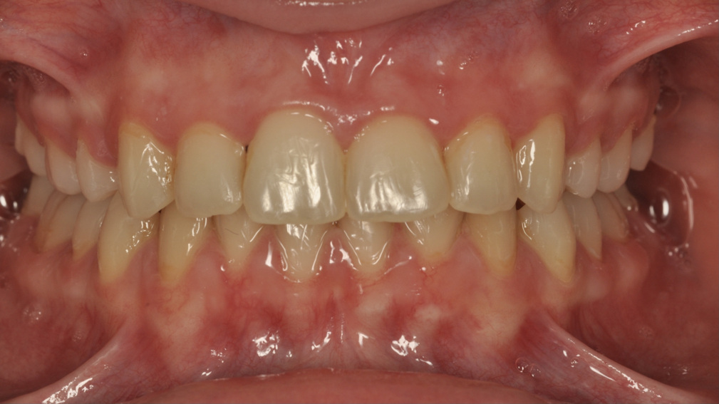
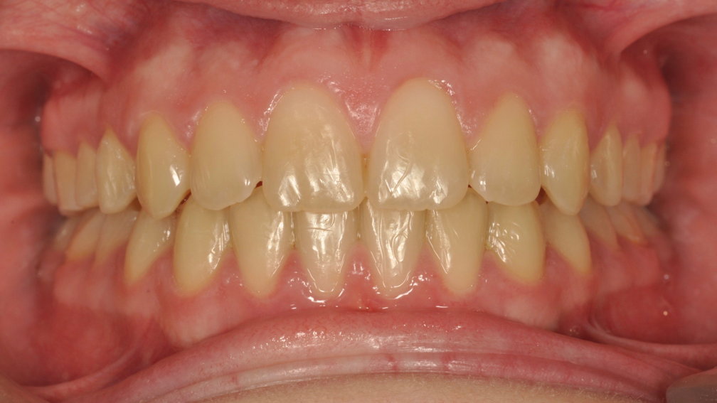
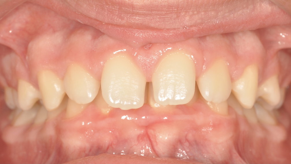
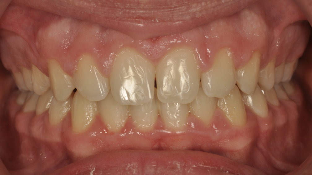
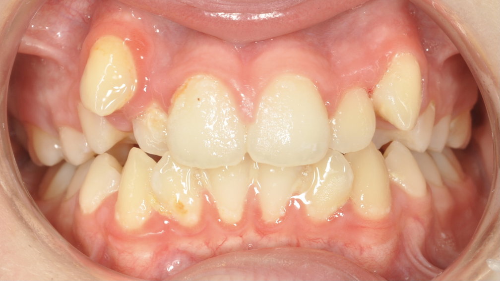
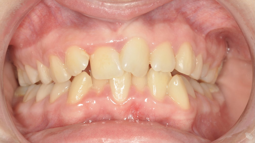
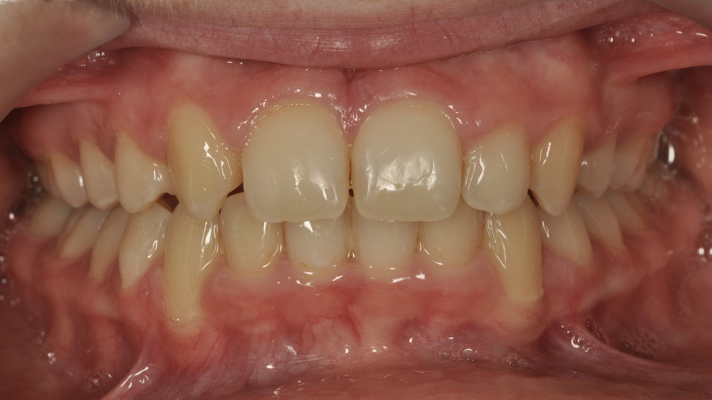
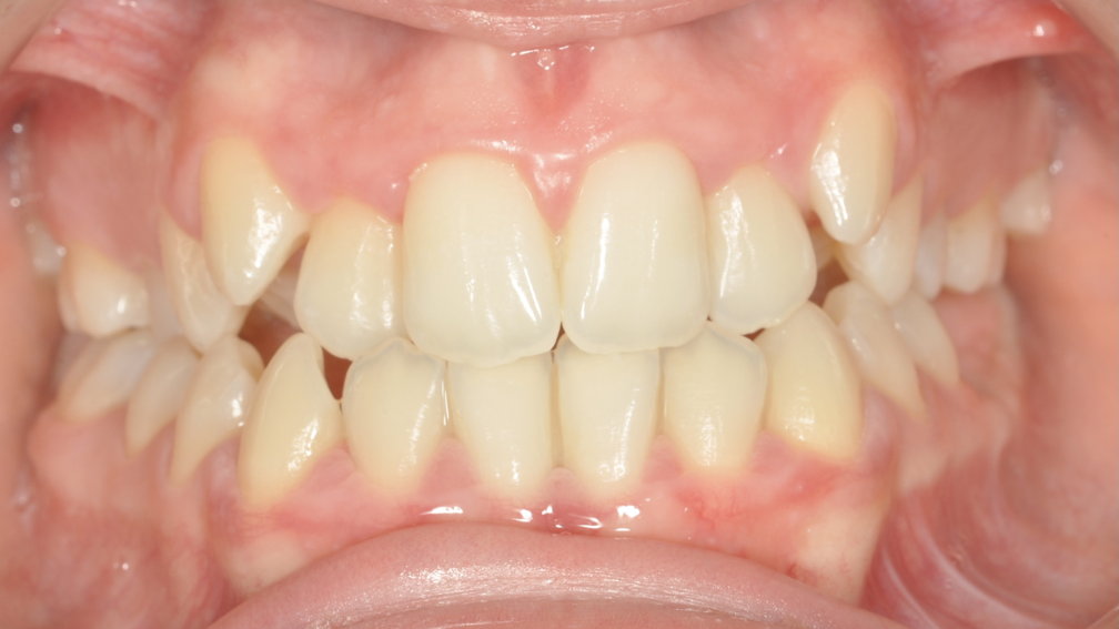
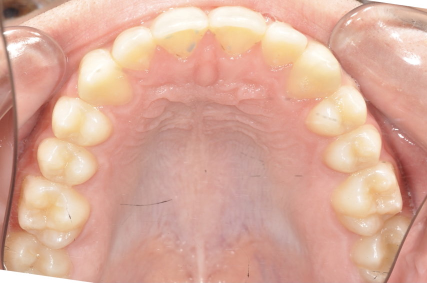
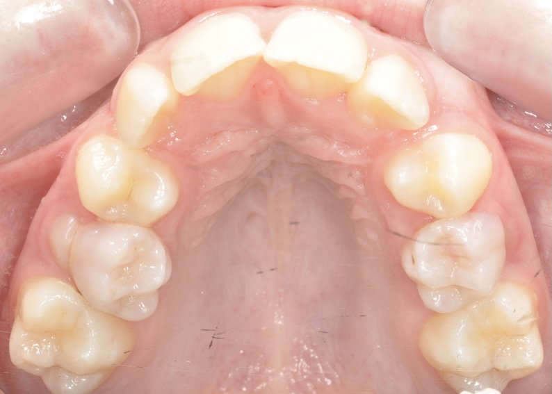
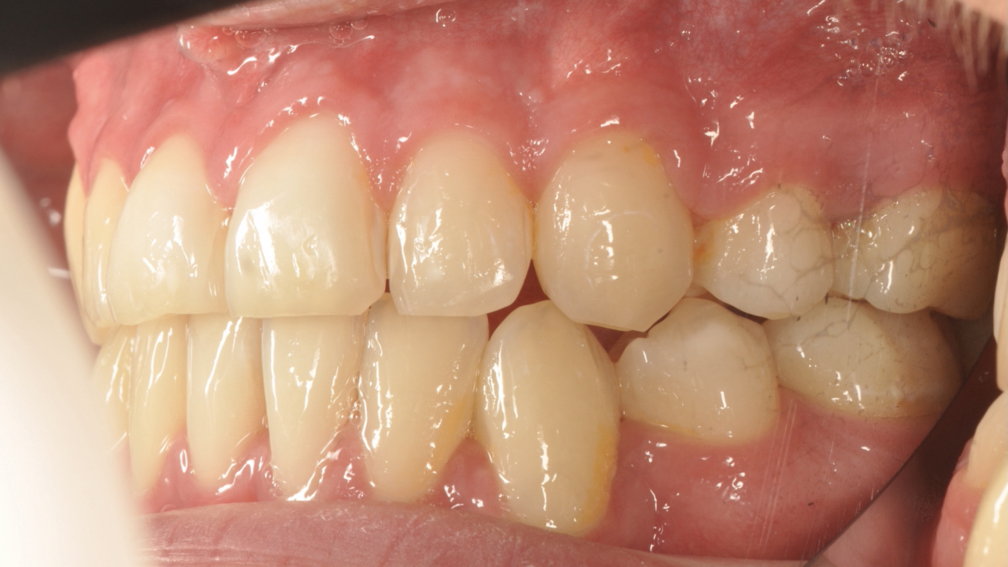
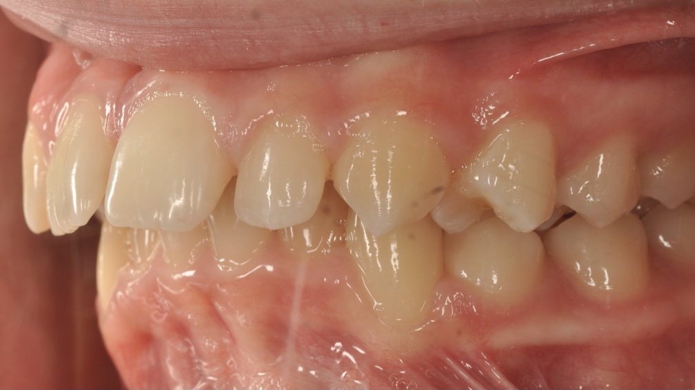
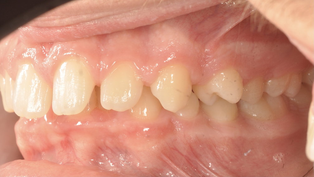
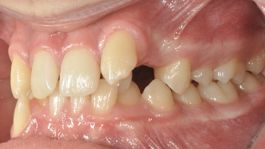
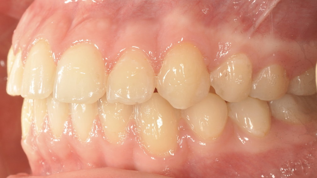
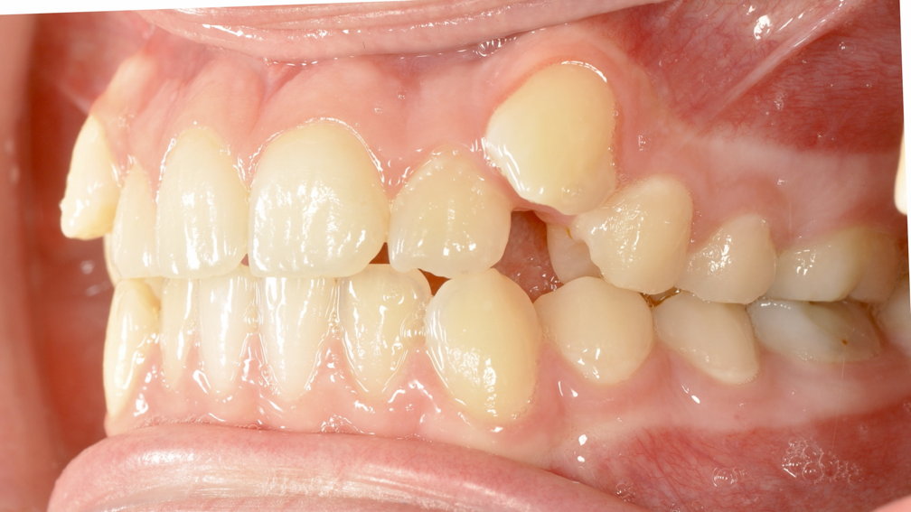
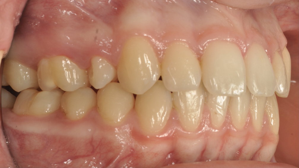
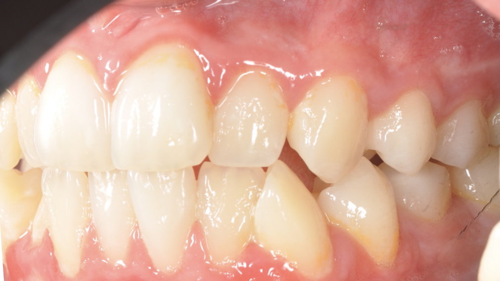
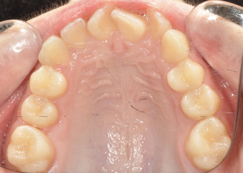
4 extractions - CLI - 13,23 incluses
Avant traitement

Après traitement

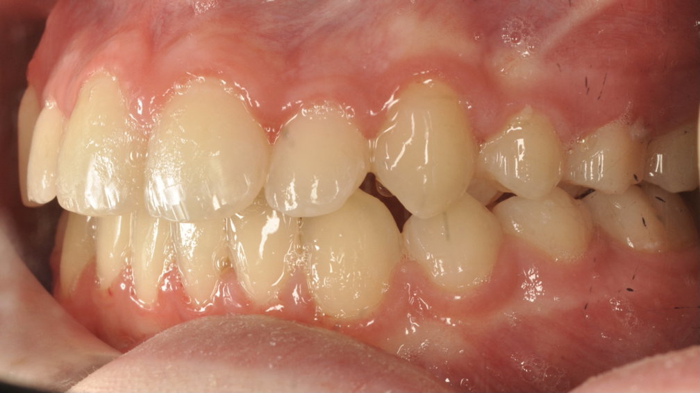
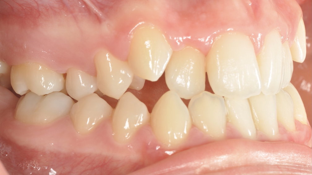
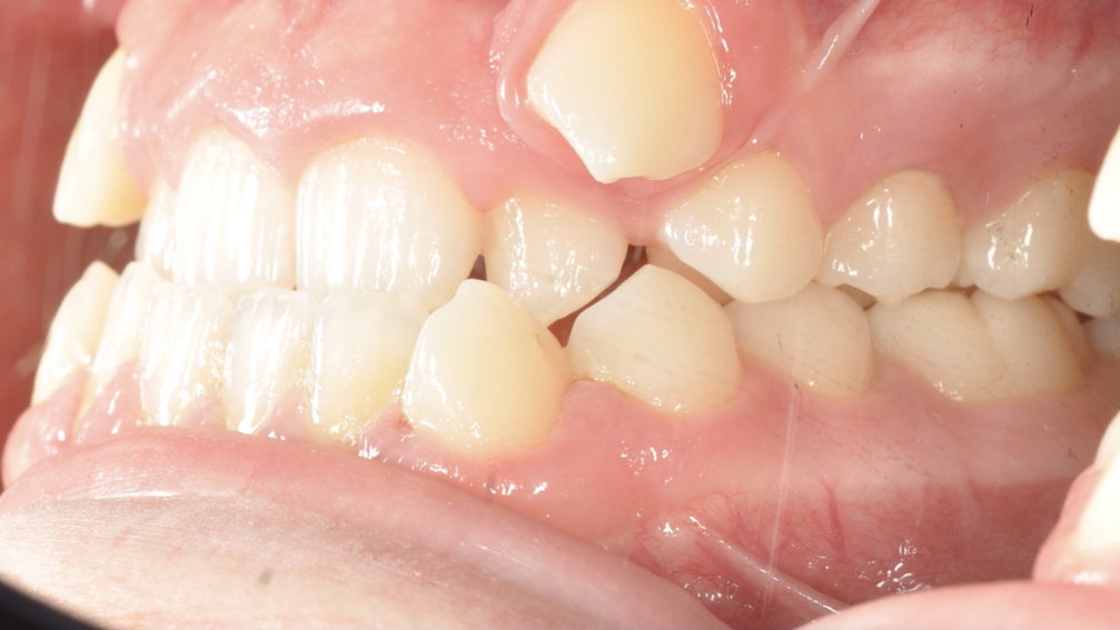
4 extractions - CLII - 13 incluse
Avant traitement

Après traitement

CHIRURGIE - CLII
Avant traitement

Après traitement

CHIRURGIE - CLII - Avancement mandibulaire
Avant traitement

Après traitement

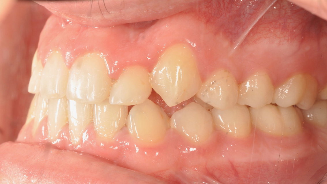
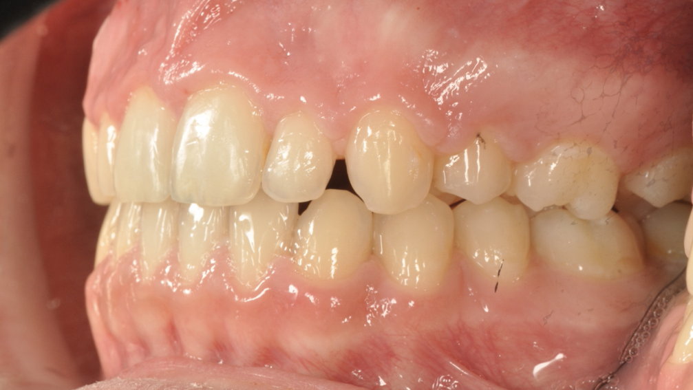
23 incluse
Avant traitement

Après traitement

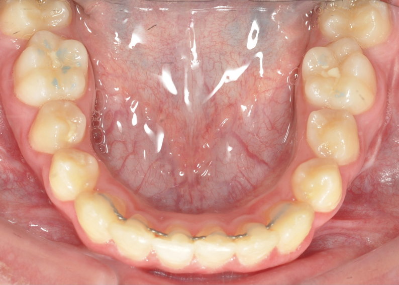
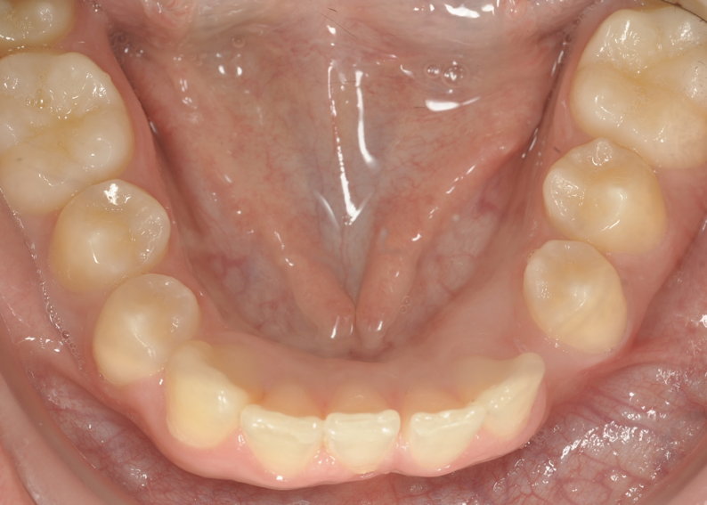
33 incluse
Avant traitement

Après traitement

CLI - 33,43 incluses
Avant traitement

Après traitement

CLII - Agénésies - 12,22,13 incluses
Avant traitement

Après traitement

2 extractions - CLI
Avant traitement

Après traitement

2 extractions - CLII (cas1)
Avant traitement

Après traitement

2 extractions - CLII (cas2)
Avant traitement

Après traitement

2 extractions - CLII (cas3)
Avant traitement

Après traitement

2 extractions - CLII - Articulé croisé
Avant traitement

Après traitement

2 extractions - CLII - DDM sévère
Avant traitement

Après traitement

2 Extractions - CLII - SUPRA - articulée croisée
Avant traitement

Après traitement

Sans extraction - CLI
Avant traitement

Après traitement

Sans extraction - CLI - Articulé croisé
Avant traitement

Après traitement

Sans extraction - CLI - Béance (Cas 1)
Avant traitement

Après traitement

Sans extraction - CLI - Béance (cas2)
Avant traitement

Après traitement

Sans extraction - CLI - Articulé croisé -ANT-EXT-16-26
Avant traitement

Après traitement

Sans extraction - CLI - SUPRA
Avant traitement

Après traitement

Sans extraction - CLII
Avant traitement

Après traitement

Sans extraction - CLII - DDM (cas 1)
Avant traitement

Après traitement

Sans extraction - CLII - DDM (cas 2)
Avant traitement

Après traitement

Sans extraction - CLII - OVERJET
Avant traitement

Après traitement

Sans extraction - CLII - SUPRA
Avant traitement

Après traitement

Sans extraction - CLII - Agénésie-12-EXT-24
Avant traitement

Après traitement

Sans extraction - CLIII
Avant traitement

Après traitement

Sans extraction - CLIII - Articulé croisé
Avant traitement

Après traitement

Sans extraction - CLIII - Articulé croisé - Béance
Avant traitement

Après traitement
