Traitements

Les différents cas traités ci-dessous dans notre cabinet illustrent notre expertise pour résoudre les différents problèmes auxquels ont à faire face les orthodontistes:

Classe I (CLI)

Pas de décalage antéro-postérieur entre maxillaire et mandibule

Dysharmonie dento-maxillaire (DDM)

Dysharmonie dento-maxillaire (place disponible insuffisante sur l’arcade inférieure pour aligner les dents en les maintenant dans l’os)

Classe II (CLII)

Maxillaire décalé antérieurement par rapport à la mandibule

Articulé croisé

Les dents lors de la fermeture ont un rapport inversé

Supraclusion

Problème du sens vertical, les dents supérieures recouvrent trop les dents inférieures lors de la fermeture.

Classe III (CLIII)

Mandibule décalée antérieurement par rapport au maxillaire

Béance

Problème du sens vertical, lors de la fermeture il reste un espace entre les dents du haut et du bas. La béance peut être antérieure, latérale ou bilatérale

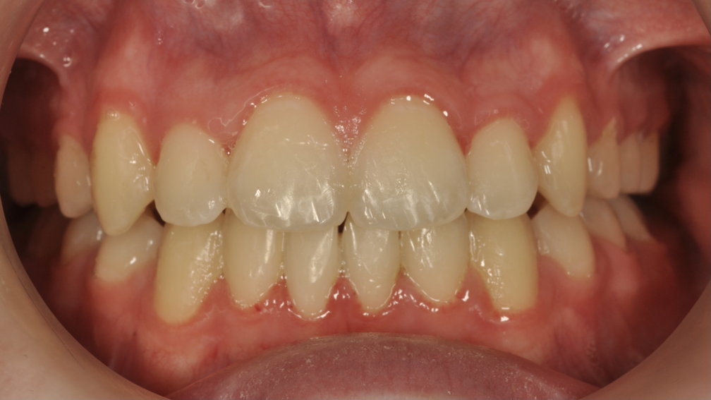
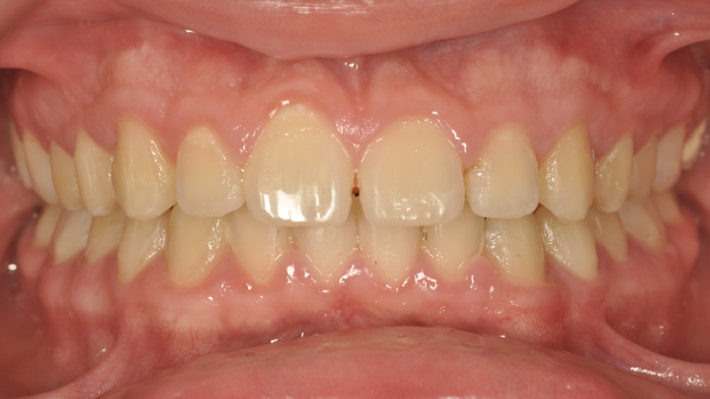
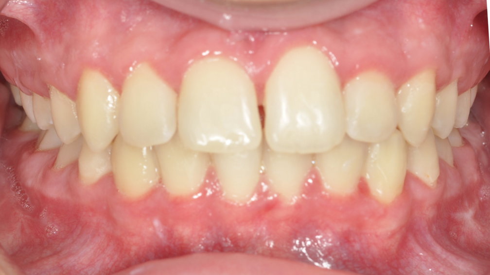
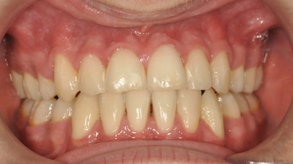
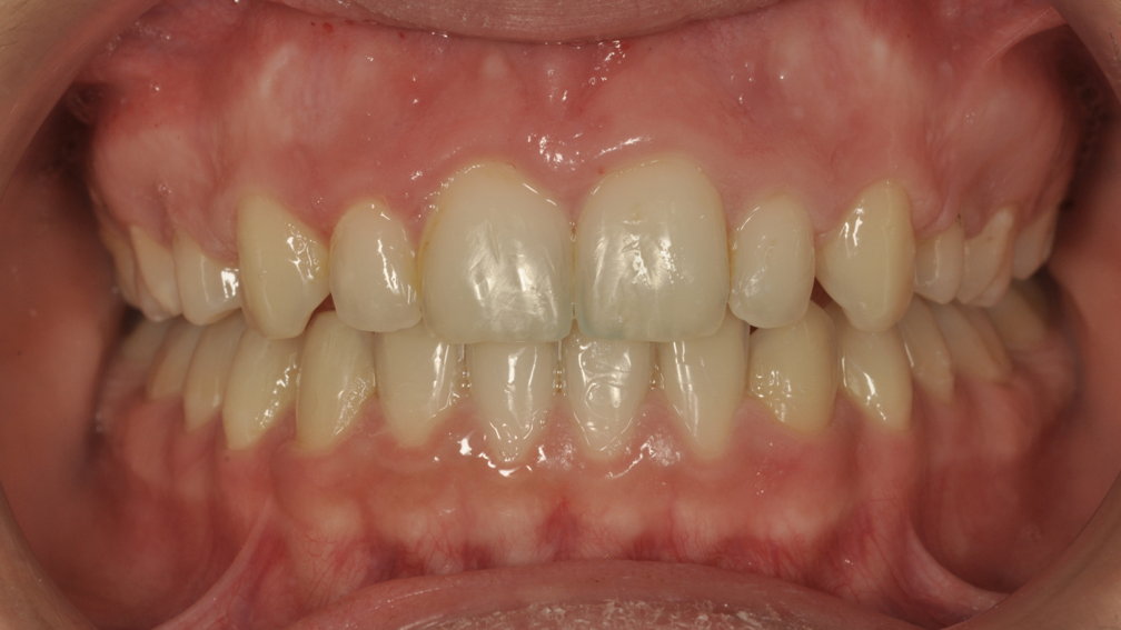
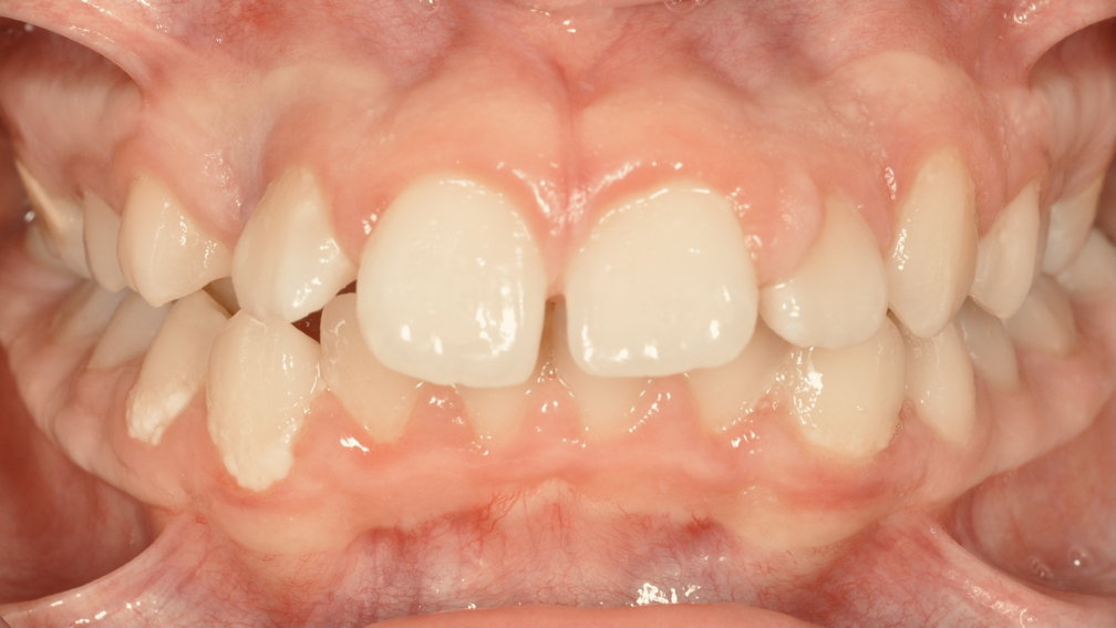
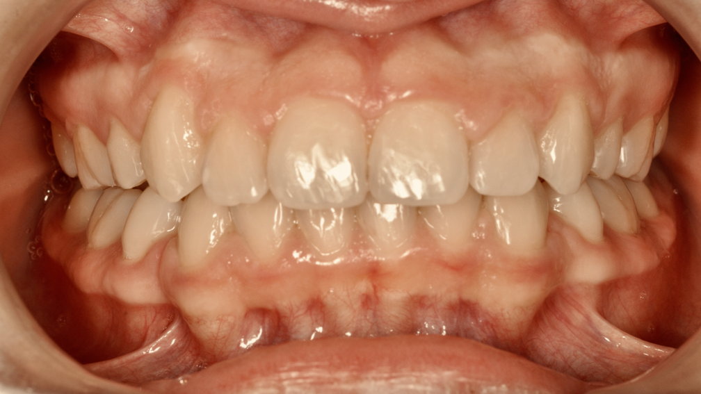
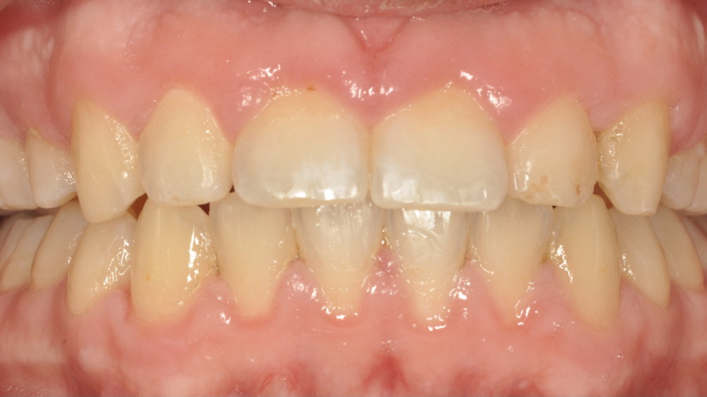
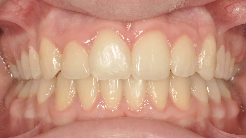
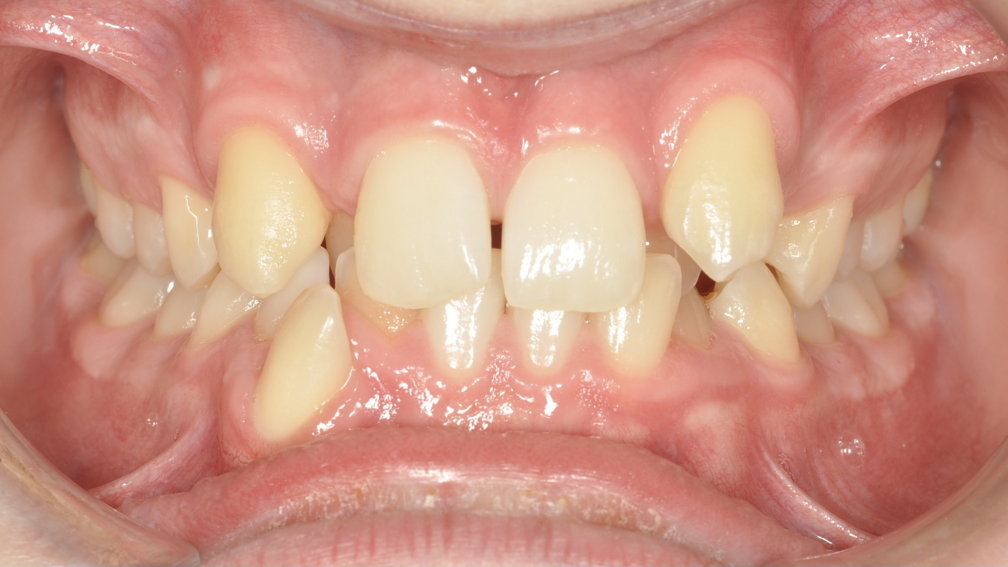
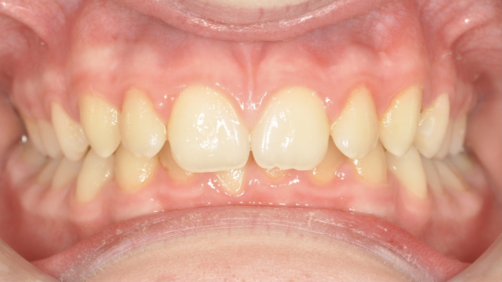
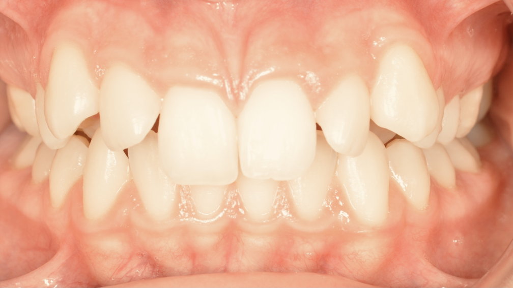
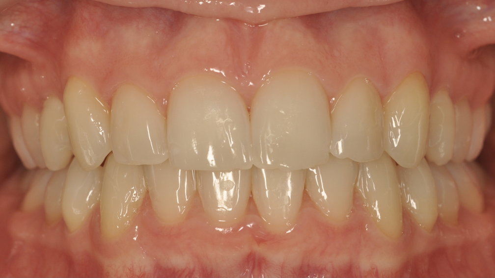
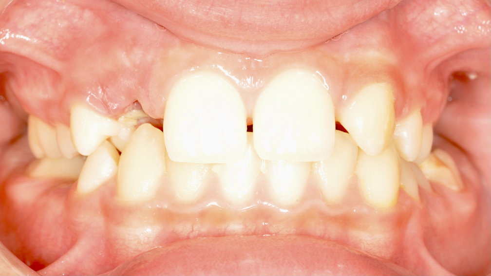
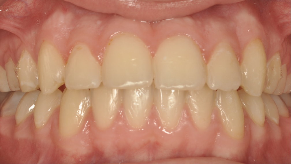
4 extractions - CLI - DDM sévère

Durée propable du traitement : 30 mois
Diagnostique : 1 anomalie de classe 1avec DDM très sévère, supraclusion et asymétrie
Plan TT : un traitement avec force extra orale, lip bumper, des extractions et 1 appareil fixe multibagues

Avant traitement
Image
Après traitement
Après traitement
/
/
/
/
/
/
/
/
/
/
/
/

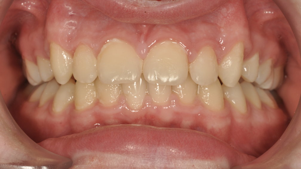
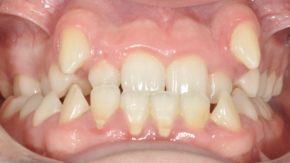
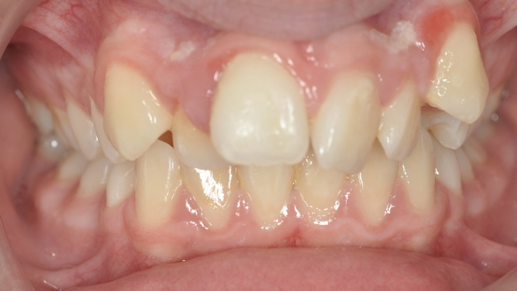
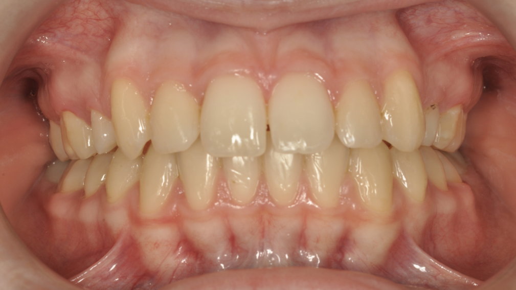
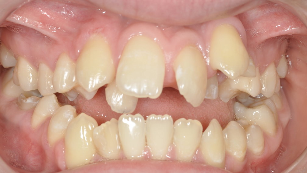
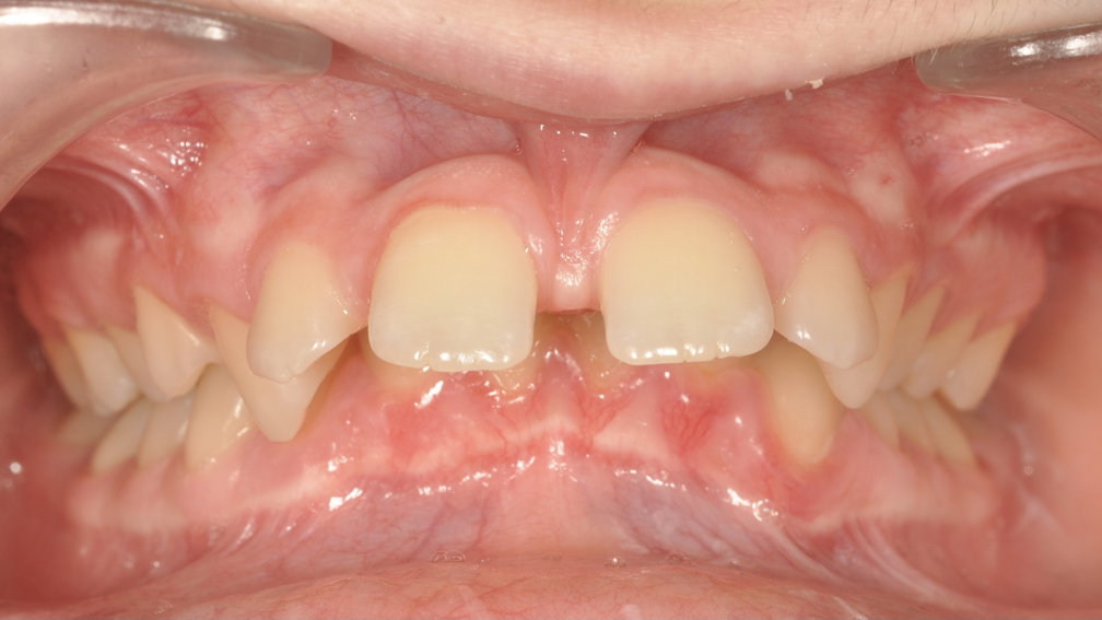
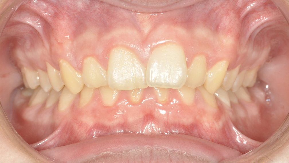
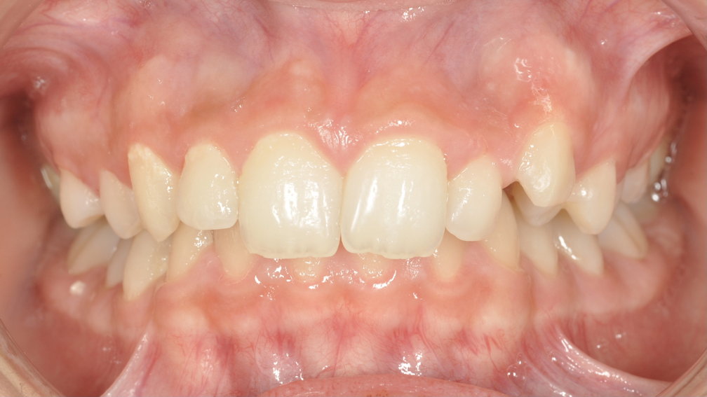
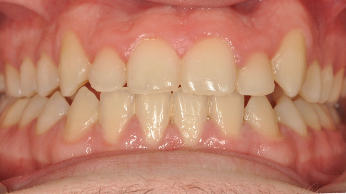
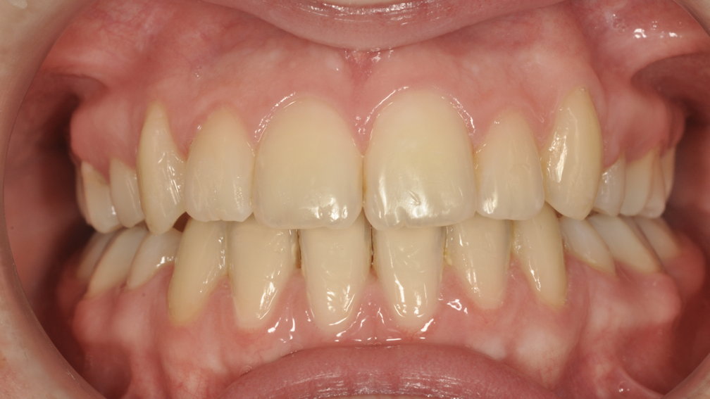
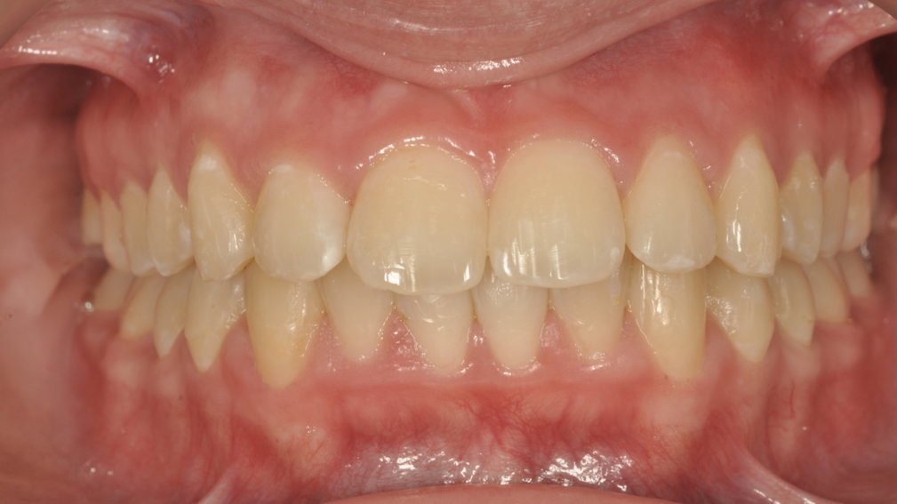
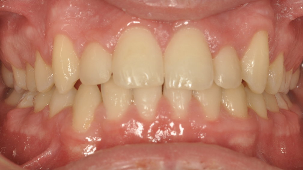
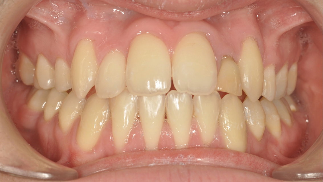
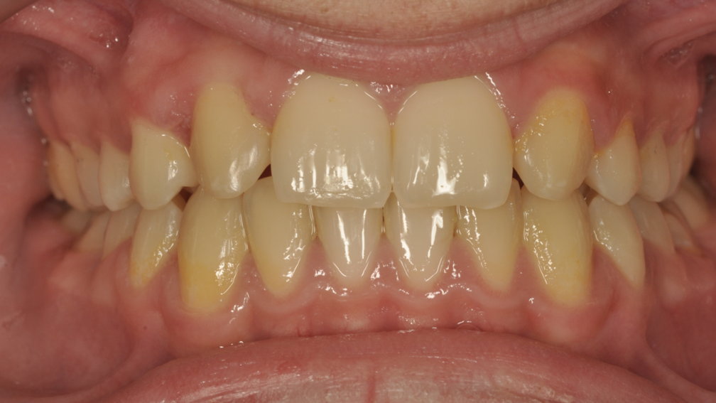
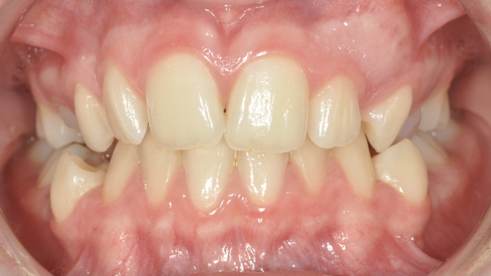
4 extractions - CLI - 13,23 incluses

Avant traitement
Avant traitement
Après traitement
Après traitement
/
/
/
/
/
/
/
/
/
/
/
/

4 extractions - CLII - 13 incluse

Avant traitement
Avant traitement
Après traitement
Après traitement
/
/
/
/
/
/
/
/
/
/
/
/

CHIRURGIE - CLII

Avant traitement
Avant traitement
Après traitement
Après traitement
/
/
/
/
/
/
/
/
/
/
/
/

CHIRURGIE - CLII - Avancement mandibulaire

Avant traitement
Avant traitement
Après traitement
Après traitement
/
/
/
/
/
/
/
/
/
/
/
/

23 incluse

Avant traitement
Avant traitement
Après traitement
Après traitement
/
/
/
/
/
/
/
/
/
/
/
/

33 incluse

Avant traitement
Avant traitement
Après traitement
Après traitement
/
/
/
/
/
/
/
/
/
/
/
/

CLI - 33,43 incluses

Avant traitement
Avant traitement
Après traitement
Après traitement
/
/
/
/
/
/
/
/
/
/
/
/

CLII - Agénésies - 12,22,13 incluses

Avant traitement
Avant traitement
Après traitement
Après traitement
/
/
/
/
/
/
/
/
/
/
/
/

2 extractions - CLI

Avant traitement
Avant traitement
Après traitement
Après traitement
/
/
/
/
/
/
/
/
/
/
/
/

2 extractions - CLII (cas1)

Avant traitement
Avant traitement
Après traitement
Après traitement
/
/
/
/
/
/
/
/
/
/
/
/

2 extractions - CLII (cas2)

Avant traitement
Avant traitement
Après traitement
Après traitement
/
/
/
/
/
/
/
/
/
/
/
/

2 extractions - CLII (cas3)

Avant traitement
Avant traitement
Après traitement
Après traitement
/
/
/
/
/
/
/
/
/
/
/
/

2 extractions - CLII - Articulé croisé

Avant traitement
Avant traitement
Après traitement
Après traitement
/
/
/
/
/
/
/
/
/
/
/
/

2 extractions - CLII - DDM sévère

Avant traitement
Avant traitement
Après traitement
Après traitement
/
/
/
/
/
/
/
/
/
/
/
/

2 Extractions - CLII - SUPRA - articulée croisée

Avant traitement
Avant traitement
Après traitement
Après traitement
/
/
/
/
/
/
/
/
/
/
/
/

Sans extraction - CLI

Avant traitement
Avant traitement
Après traitement
Après traitement
/
/
/
/
/
/
/
/
/
/
/
/

Sans extraction - CLI - Articulé croisé

Avant traitement
Avant traitement
Après traitement
Après traitement
/
/
/
/
/
/
/
/
/
/
/
/

Sans extraction - CLI - Béance (Cas 1)

Avant traitement
Avant traitement
Après traitement
Après traitement
/
/
/
/
/
/
/
/
/
/
/
/

Sans extraction - CLI - Béance (cas2)

Avant traitement
Avant traitement
Après traitement
Après traitement
/
/
/
/
/
/
/
/
/
/
/
/

Sans extraction - CLI - Articulé croisé -ANT-EXT-16-26

Avant traitement
Avant traitement
Après traitement
Après traitement
/
/
/
/
/
/
/
/
/
/
/
/

Sans extraction - CLI - SUPRA

Avant traitement
Avant traitement
Après traitement
Après traitement
/
/
/
/
/
/
/
/
/
/
/
/

Sans extraction - CLII

Avant traitement
Avant traitement
Après traitement
Après traitement
/
/
/
/
/
/
/
/
/
/
/
/

Sans extraction - CLII - DDM (cas 1)

Avant traitement
Avant traitement
Après traitement
Après traitement
/
/
/
/
/
/
/
/
/
/
/
/

Sans extraction - CLII - DDM (cas 2)

Avant traitement
Avant traitement
Après traitement
Après traitement
/
/
/
/
/
/
/
/
/
/
/
/

Sans extraction - CLII - OVERJET

Avant traitement
Avant traitement
Après traitement
Après traitement
/
/
/
/
/
/
/
/
/
/
/
/

Sans extraction - CLII - SUPRA

Avant traitement
Avant traitement
Après traitement
Après traitement
/
/
/
/
/
/
/
/
/
/
/
/

Sans extraction - CLII - Agénésie-12-EXT-24

Avant traitement
Avant traitement
Après traitement
Après traitement
/
/
/
/
/
/
/
/
/
/
/
/

Sans extraction - CLIII

Avant traitement
Avant traitement
Après traitement
Après traitement
/
/
/
/
/
/
/
/
/
/
/
/

Sans extraction - CLIII - Articulé croisé

Avant traitement
Avant traitement
Après traitement
Après traitement
/
/
/
/
/
/
/
/
/
/
/
/

Sans extraction - CLIII - Articulé croisé - Béance

Avant traitement
Avant traitement
Après traitement
Après traitement
/
/
/
/
/
/
/
/
/
/
/
/

Information

All images are for demonstration purpose only. You will get the demo images with the QuickStart pack.

Also, all the demo images are collected from Unsplash. If you want to use those, you may need to provide necessary credits. Please visit Unsplash for details.